Яйца у Лапы. Лучик изменил Дине !
Лапа.
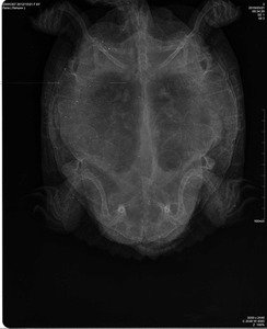
У Лапы оказались яйца - 8-10 штук, поэтому она не ела. Делал рентген :
Сейчас снова начала есть !
Но она самая спокойная, остальные девочки стали очень буйные ! Видимо, все 7 взрослых девочек принесут яйца...
Лучик изменил Дине ! Несмотря на то, что год за ней только и ухаживал...
Спаривание черепах Лучика и Киры.И сколько Кире тогда лет ? Я считал, что Лучику и Дине почти 4 года, им уже можно, а Кире - нет и 3 лет. Наверное, ей тоже 4 года ! Узнать точно уже невозможно, ее нашли на улице прошлым летом...
Новое видео (прошлого же дня) :
02.04.2019г. : Сириус. Пристраивается ! Нужен - берите. (Москва и Подмосковье). С ним отдаю аквариум на 90л с мостиком и УФ лампу Аркадия (ее нужно через 3 месяца менять).





0 комментариев
Рекомендованные комментарии
Нет комментариев для отображения
Создайте аккаунт или войдите в него для комментирования
Вы должны быть пользователем, чтобы оставить комментарий
Создать аккаунт
Зарегистрируйтесь для получения аккаунта. Это просто!
Зарегистрировать аккаунтВойти
Уже зарегистрированы? Войдите здесь.
Войти сейчас