Заметки 2021
Время бежит с сумасшедшей скоростью и вот уже настал 2021 год! А кажется еще недавно я писала заметку о 2020...
У меня никак не получается бывать на форуме чаще, извечная суета, какие-то дела... зато часто бываю в инстаграме ? У Дэвида сразу же после его приезда появилась своя страничка там!
Ну а теперь к новостям. Ничего особенного в черепашьей жизни за это время не произошло. Стая продолжает лениво греться под лампами и тянуть ножки, хотя иногда они приступают к миссии «выпросить еду» ?
Ася спокойна и настроена дружелюбно к остальным. Теперь она даже уступила свою главную обязанность - отбирать у всех еду - своей юной преемнице - Гретхен.
Сама Грета окончательно освоилась и ведет веселую разнообразную жизнь. Почти каждый день она предпочитает принять ванну - в бассейне, который стоит у них в террариуме. От того ее кожа просто сияет ? Аппетит у нее зверский!

Весна же продолжает чудить, по-своему, по-особенному. Вечерами, когда все три мадамы дремлют под лампами, положив головы друг другу на лапы и панцири, она внезапно просыпается и вопросительно смотрит на Грету. А далее все происходит по одной и той же схеме. Проказница Весна хватает Грету за пятку! Та, конечно же просыпается и от неожиданности убегает, а эта Весна иногда даже пытается ее догнать ? Правда все пяткой и ограничивается. В том что все трое - самки я уверена. Видимо Весна видит во сне одуванчики и пятка Греты при пробуждении очень на них похожа ?
У Брюлика тоже все хорошо, живя один он не вытворяет ничего необычного. Ест, дремлет, спит. Типичная холостяцкая жизнь.
А еще у нас с ним 2 февраля была годовщина - 8 лет! 
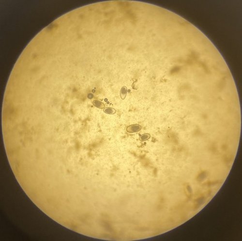
Кстати в начале зимы на паре по паразитологии я изучала фекалии Весны на наличие яиц глист (сказано было принести собачьи, кошачьи, но мне были интересны черепашьи). Как и предполагалось, я обнаружила там только яйца оксиур (вероятно Oxyuridae Tachygonetria), что встречается у всех черепах, изъятых из природы и зачастую даже у тех, кто выведен в неволе.
К слову о Дэвиде. С ним тоже все хорошо, малыш растет, но не шибко быстро. Прогресс заметен, но я сказала бы, что он совсем небольшой. Я конечно же его и не тороплю, но иногда переживаю, что что-то не так ? Сейчас его вес 135 грамм.
-
1

5 комментариев
Рекомендованные комментарии
Создайте аккаунт или войдите в него для комментирования
Вы должны быть пользователем, чтобы оставить комментарий
Создать аккаунт
Зарегистрируйтесь для получения аккаунта. Это просто!
Зарегистрировать аккаунтВойти
Уже зарегистрированы? Войдите здесь.
Войти сейчас