Елена_F Ваше имя: Цып Локация: Россия. г.Курск Опубликовано: 19 марта 2025 Автор Опубликовано: 19 марта 2025 @moth Доброе утро! Дали утром куриную грудку. Интерес проявил и съел очень маленький кусочек. Он не мог клюв хорошо открывать и проглатывать. Не могла ли я ему что- нибудь повредить, когда давала Эспумизан в шприце и открывала ему шпателем клюв? @moth И надо ли мне давать ему Эспумизан?
Елена_F Ваше имя: Цып Локация: Россия. г.Курск Опубликовано: 19 марта 2025 Автор Опубликовано: 19 марта 2025 @mothПохоже, когда я ему в последний раз давала Эспумизан при фиксации головы пережала шею ближе к гортани. Теперь ему больно открывать клюв и глотать.(((((
Консультанты moth Ваше имя: Мария Локация: Москва Опубликовано: 19 марта 2025 Консультанты Опубликовано: 19 марта 2025 @Елена_F не факт, что из-за этого ему может быть тяжело глотать из-за других проблем, основных когда у черепах проблемы с жкт - визуально кажется будто они не могут что-то проглотить, пробуют пищу и выплёвывают можете видео сделать как пытается есть? он больше не стал курицу или больше не давали?
Елена_F Ваше имя: Цып Локация: Россия. г.Курск Опубликовано: 19 марта 2025 Автор Опубликовано: 19 марта 2025 @moth Он кусочек прихватил клювом и держал, делая глотательные движения. Я ему разделила на ещё меньшие кусочки. Один он поел, стала давать ещё, держа пинцетом, он уже не ел.Точно не выплёвывает, наоборот.
Консультанты moth Ваше имя: Мария Локация: Москва Опубликовано: 19 марта 2025 Консультанты Опубликовано: 19 марта 2025 @Елена_F попробуйте снять на видео, я посмотрю как выглядит видео на любой хостинг выложите, а сюда ссылку приложите
Елена_F Ваше имя: Цып Локация: Россия. г.Курск Опубликовано: 19 марта 2025 Автор Опубликовано: 19 марта 2025 @moth https://drive.google.com/file/d/1ZG-MghPARNf6scpT2NW5-yOoAORfFuiJ/view?usp=drivesdk Такими какашками он какает.
Консультанты moth Ваше имя: Мария Локация: Москва Опубликовано: 19 марта 2025 Консультанты Опубликовано: 19 марта 2025 @Елена_F а отройте доступ к ссылке, там закрыт сейчас
Елена_F Ваше имя: Цып Локация: Россия. г.Курск Опубликовано: 19 марта 2025 Автор Опубликовано: 19 марта 2025 @moth Извините, открыла.
Консультанты moth Ваше имя: Мария Локация: Москва Опубликовано: 19 марта 2025 Консультанты Опубликовано: 19 марта 2025 @Елена_F по видео у черепахи просто нет сил кусать, это плохо вы сможете на приём с ней к тому врачу сходить? здесь уже дело не в авитаминозе, я боюсь, что всё-таки с печенью беда 1
Елена_F Ваше имя: Цып Локация: Россия. г.Курск Опубликовано: 19 марта 2025 Автор Опубликовано: 19 марта 2025 @moth Поняла, сегодня или завтра поеду. Но поеду к другому, где кровь смогут взять.
Консультанты moth Ваше имя: Мария Локация: Москва Опубликовано: 19 марта 2025 Консультанты Опубликовано: 19 марта 2025 @Елена_F напишите, пожалуйста, как приём пройдёт
Елена_F Ваше имя: Цып Локация: Россия. г.Курск Опубликовано: 19 марта 2025 Автор Опубликовано: 19 марта 2025 @moth Конечно! Сделаю ему рентген и надеюсь, что получится сдать кровь. В прошлый раз не получилось.( Я не знаю, что за врач- Быканова Виктория Игоревна ветеринарный фельдшер. Отзывов о лечении рептилий нет.( @moth Давала ему сегодня эспумизан-он его срыгивает, а когда вчера делала вибротерапию-видно было его подташнивает. Мне так его жалко.(((
Консультанты moth Ваше имя: Мария Локация: Москва Опубликовано: 19 марта 2025 Консультанты Опубликовано: 19 марта 2025 @Елена_F тут, конечно, могут быть сюрпризы неприятные на всякий случай дам список препаратов, которые нельзя колоть ни под каким предлогом - фуросемид (его вообще нет), любые виды гомеопатии, всё, что содержит в себе -вит (Гамавит, Тривит и т.п. витамины), можно только витамины группы В. Иначе будет передозировка и опять таки сильный удар по печени. Можете взять по спорным препаратам назначения и тут сначала проверить Если проблема в печени, то должны выписать какой-то гепатопротектор типа Гептрала или аналог. Но боюсь, что если подтвердится проблема с печенью, то тут плохие прогнозы. Всё будет зависеть от степени поражения. @Елена_F пока не делайте больше никаких процедур, пусть отдохнёт 1
Елена_F Ваше имя: Цып Локация: Россия. г.Курск Опубликовано: 20 марта 2025 Автор Опубликовано: 20 марта 2025 (изменено) @mothЗдравствуйте, Мария! Были в ветклинике на приёме у Быкановой Виктории Игоревны-врач экзотолог" Курская городская СББЖ". Только положительные впечатления. У черепахи анемия, много жидкости в крови, кровь получилось взять только из яремной вены. Сказали, что в таких случаях животным делают переливание крови... Отправили делать анализ, заключение и полное описание будет после получения результатов. Сделали укол В 12. Изменено 20 марта 2025 пользователем Елена_F
Консультанты moth Ваше имя: Мария Локация: Москва Опубликовано: 20 марта 2025 Консультанты Опубликовано: 20 марта 2025 @Елена_F охохо.. будем ждать результатов : ( @Miladyad добавь, пожалуйста, информацию по Курску Быканова Виктория Игоревна-врач экзотолог" Курская городская СББЖ" в зелёный справочник 1
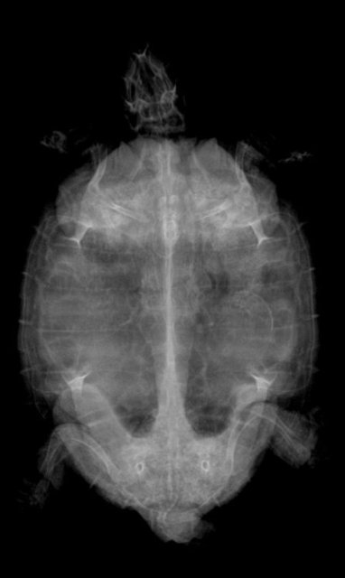
Елена_F Ваше имя: Цып Локация: Россия. г.Курск Опубликовано: 20 марта 2025 Автор Опубликовано: 20 марта 2025 @moth А по рентгену можно что- то сказать? Вроде газов меньше стало.
Консультанты moth Ваше имя: Мария Локация: Москва Опубликовано: 20 марта 2025 Консультанты Опубликовано: 20 марта 2025 @Елена_F врач расшифровку рентгена ещё не делала? по мне лучше стало, но надо чтобы врач смотрела и расшифровала, потому что здесь ошибка будет очень дорого стоить
Елена_F Ваше имя: Цып Локация: Россия. г.Курск Опубликовано: 20 марта 2025 Автор Опубликовано: 20 марта 2025 @moth Расшифровку она не делала, но для сравнения я ей показала старый снимок и она мне показала, что на новом снимке меньше затемнений, т.е. газы уходят. С сердцем тоже вроде всё нормально, осмотрела язык.
Елена_F Ваше имя: Цып Локация: Россия. г.Курск Опубликовано: 20 марта 2025 Автор Опубликовано: 20 марта 2025 @moth Мария, через сколько дней мне можно возобновить терапию-эспумизан+ вибрация? По графику Эспумизан надо давать завтра. Сколько ему надо дней, чтобы отдохнуть и немного восстановиться?
Елена_F Ваше имя: Цып Локация: Россия. г.Курск Опубликовано: 20 марта 2025 Автор Опубликовано: 20 марта 2025 @moth Посмотрела сейчас чек по оплате процедур- у меня указан рентген без описания.( Странно конечно. Обычно описание делают...
Консультанты moth Ваше имя: Мария Локация: Москва Опубликовано: 20 марта 2025 Консультанты Опубликовано: 20 марта 2025 @Елена_F да не может такого быть, чтобы рентген без описания был, смысл его тогда делать, если не учитывать в лечении Вам сейчас не надо эспумизан и вибро делать, у черепахи нет явно выраженных газов. Надо подождать результатов исследований. Пусть отдыхает. 1
Администраторы Miladyad Ваше имя: Милана Локация: Москва Опубликовано: 21 марта 2025 Администраторы Опубликовано: 21 марта 2025 Добавила ветеринара на сайт. Спасибо! 1
MopeXaoca Ваше имя: MopeXaoca Локация: Российская Империя Опубликовано: 21 марта 2025 Опубликовано: 21 марта 2025 @Елена_F Частично почитал вашу историю, вы гонять вашу черепашку не пробовали? Водоем большой? Я не врач, я опираюсь на логику. Не давать ей продыху , что бы двигалась. Метаболизм медленный, примерно 2е суток от приема пищи до дефекации. Просто играть и не давать валяться, с перерывами. Возможно внутренние механизмы заработают.
Елена_F Ваше имя: Цып Локация: Россия. г.Курск Опубликовано: 21 марта 2025 Автор Опубликовано: 21 марта 2025 (изменено) @MopeXaoca Здравствуйте! Акватерриум позволяет его погонять, но он сейчас очень слабый, у него анемия и надо ему хоть немного восстановиться. Вчера у него не могли взять кровь и отрезали ему коготь. На мостике, когда он перебирает задними лапками из ранки идёт кровь. Это последние 4 дня он такой вялый. Я хочу дождаться результатов анализа крови, терапию в виде вибрации и эспумезана пока отложила. Я боюсь его замучить... @MopeXaoca Ему сделали укол В 12. Его как раз делают при анемии. Изменено 21 марта 2025 пользователем Елена_F
MopeXaoca Ваше имя: MopeXaoca Локация: Российская Империя Опубликовано: 21 марта 2025 Опубликовано: 21 марта 2025 @Елена_F Мне больно все это видеть. Если нужна будет помощь, только скажите. Ваш парень должен выжить! Должен! Они сильные ребята.
Рекомендованные сообщения
Создайте аккаунт или войдите в него для комментирования
Вы должны быть пользователем, чтобы оставить комментарий
Создать аккаунт
Зарегистрируйтесь для получения аккаунта. Это просто!
Зарегистрировать аккаунтВойти
Уже зарегистрированы? Войдите здесь.
Войти сейчас