Перейти к публикации

Красноухая черепаха - мягкий панцирь


Сергей

Рекомендованные сообщения

  • Ваше имя: Сергей
  • Локация: Гатчина
  • Опубликовано:

    Здравствуйте!
    1) Из какого вы города (области)? Ваш возраст? / Ленинградская область, Гатчина, 39 лет
    2) Какого вида черепаха? Если не знаете, хотя бы водная или сухопутная? / Красноухая 
    3) Где содержится (пол, аквариум, террариум, контейнер)? Размер жилища? / аквариум 80 л
    4) Какое стоит оборудование? (лампы [УФ, нагрев.], грунт, берег, нагреватель, фильтр) / нагреватель, 2 фильтра, берег, лампа УФ
    5) Какая температура в жилище черепахи (воздуха/воды)? Как называется УФ лампа и как давно установлена? / ~28 - вода, exoterra repti glo 10.0, установлена 3 года назад, но использовалась примерно первые полгода после покупки, больше не включалась.
    6) Что черепаха ест и как часто? Какие даете подкормки и как часто? / кормление 2-3 раза в неделю: нежирная рыба, креветки, говяжья печень (редко), куриная грудка; подкормки - сухой корм с содержанием витамина Д и кальция (редко)
    7) Возраст, точный вес и длина панциря черепахи? В чём проблема/болезнь?  Как давно проявилась? / возраст 7-8 лет, длина панциря ~ 15 см, вес - 916 гр / неделю назад обнаружили, что панцирь слева стал мягким. сегодня заметили, что панцирь в этом месте провалился. При этом черепаха активная, аппетит отменный.

    8) Обращались ли в ветклинику ? Куда, к кому, что назначили, что сделано по рекомендации? / в 2014 году обращались в ветклинику по причине отказа от пищи и не двигались задние лапы, рекомендации по лечению были выполнены, прокололи инъекции (название не помню), черепаха восстановилась, потом несколько раз ходили на консультацию ежегодно, проблем не возникало. Беспокоил белый налет на панцире ветеринар сказал, что от воды, отстаивать воду при заполнении аквариума. Сейчас в клинику не обращались, так как нет специалистов (к которому обращались - сейчас не работает).

    9) Фотографии выложить  / прикрепить не получилось.

     

    Скрытый текст

     

  • Ваше имя: Нулевой
  • Локация: Испания, Валенсия
  • Опубликовано:
    38 минут назад, Сергей сказал:

    9) Фотографии выложить  / прикрепить не получилось.

    Почему не получилось ? Какое сообщение появлялось при прикреплении ?

    • Консультанты
  • Ваше имя: Мария
  • Локация: Москва
  • Опубликовано:

    @Сергей здравствуйте.

    После болезни в 2014 Вам нужно было пожизненно соблюдать диету с повышенным содержанием кальция и обязательно постоянно работающей уф лампой. То, чем Вы кормили этим обделено. Дефицит кальция вернулся и ещё больше усугубился. Когда панцирь взрослой черепахи размягчается - это уже очень-очень плохо и нужно срочно это исправлять. Провалится окончательно - всё, это не исправить. Это значительно усугубит её состояние. Органы внутри будут сжаты и не будут работать нормально.

    Вам нужны препараты Борглюконат кальция и Элеовит. Позже распишу дозировки и как колоть.

    Диету меняйте - Вам нужен корм Рептомин или Sera carnivor professional. Переводить на любой из этих и кормить только им. Либо речной рыбой всегда с костями и внутренностями, но лучше корм.

    Приложите фото, если тут не получается - ссылкой.

    • Нравится 1
    • Консультанты
  • Ваше имя: Мария
  • Локация: Москва
  • Опубликовано:

    Элеовит 0.55мл в мышцу попы один укол сейчас и второй через две недели.  Колоть, перевернув черепаху на спину, прижать рукой и колоть. Место между лапой и хвостом, ближе к верхнему панцирю, как на фото:

    spacer.png

     

    Борглюконат кальция 1.37мл под кожу задней лапы (можно разделить пополам между лапами. чтобы колоть инсулиновым шприцем) через день, курс 7 уколов.

    видео как делать:

     

     

    • Нравится 1
  • Ваше имя: Сергей
  • Локация: Гатчина
  • Опубликовано:

    Спасибо за рекомендации, будем им следовать!

    IMG_20190522_184746.jpg

    IMG_20190522_184723.jpg

    LEHFleHgG34.jpg

    • Смущение 1
    • Консультанты
  • Ваше имя: Мария
  • Локация: Москва
  • Опубликовано:

    с черепахой, мягко говоря, жесть. Это уже остеопения. Уколы кальция, витамины и уф лампа обязательны, вообще без вариантов, и чем быстрее тем лучше. У него могут начать отказывать лапы, если не начнёте лечение в ближайшие дни. Потом после уколов ещё 2 месяца будете давать Кальций д3 Никомед (обычный, не форте) 1 таблетка в неделю. 

    • Нравится 1
    • Грусть 1
    • 3 года спустя...
  • Ваше имя: Сергей
  • Локация: Гатчина
  • Опубликовано:

    Черепахе после лечения созданы все условия. Рацион исправлен (речная рыба с костями и кожей, тетра рептомин, сера рептил).

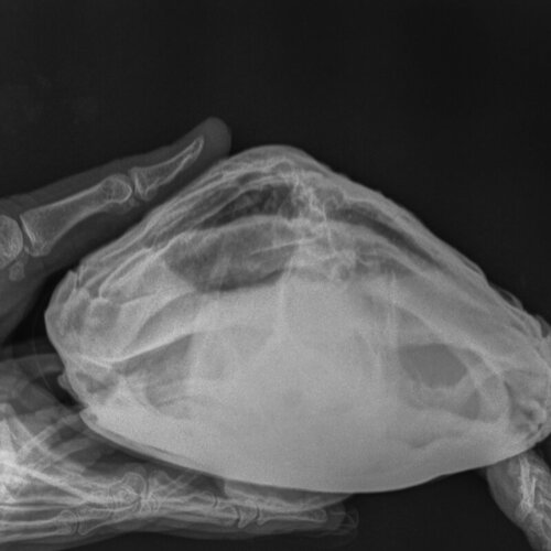
    Летом в июле-августе 2022 года впервые начала откладывать яйца (возможно ранее не замечали, хотя такое сложно не заметить). Последние 2 недели стала вести себя вяло, отказывается от еды. Сидит в воде возле нагревателя, на сушу выходит редко. Открывает рот в воде, как будто позывы к рвоте, надувает зоб. Когда достаешь из воды из носа слышны звуки будто полный нос соплей. На дне аквариума были замечены желтые выделения скорее всего из клоаки, точно не понятно откуда.

    Обратились к местному ветеринару, сделали рентген, назначено лечение (кальций, байтрил, катобевит, раствор Рингера Локка). По снимкам ветеринар озвучил проблему с воспалением в легких и нарушением кладки яиц. Рекомендовано пару дней наблюдать и обратиться в СПб к герпетологу по вопросу оперирования (удаления яиц).

    Хотелось бы понять насколько острая необходимость оперирования?

     

    Мелкие животные_Рептилии-Череп DV_VD-08.10.2022-16_31_24-584.JPEG

    Мелкие животные_Рептилии-Грудная клетка VD-08.10.2022-16_32_04-330.JPEG

    • Консультанты
  • Ваше имя: Мария
  • Локация: Москва
  • Опубликовано:

    @Сергей здравствуйте

    учитывая симптомы Вам нужно к герпетологу как можно быстрее. Если есть желтые выделения - есть риск желточного перитонита.

    Из хороших оперирующих врачей это Ярослав Николаев (клиника доктора Базылевского, веткабинет при магазине Пантерик), Прасолова Дарья ветклиника Котонай на ул. Бухарестская, д.142 (в Котонае есть и другие герпетологи, но нужно уточнять по телефону кто где принимает). 

  • Ваше имя: Сергей
  • Локация: Гатчина
  • Опубликовано:

    @moth благодарю!

    из рекомендованных Вами: Николаев Ярослав - в командировке. 

    В справочнике на сайте рекомендуемые ветеринары-герпетологи https://cherepahi.ru/web/spravka/1203-spravochnik-sankt-peterburg не актуальная информация?

    • Консультанты
  • Ваше имя: Мария
  • Локация: Москва
  • Опубликовано:

    @Сергей не вся, нужно звонить уточнять - многие также в командировках/уехали, сменили место работы

    попробуйте в Котонай. Просто там я точно знаю, что помогут, с остальными врачами у меня мало опыта работы и я не знаю оперируют ли они такие случаи. 

    Создайте аккаунт или войдите в него для комментирования

    Вы должны быть пользователем, чтобы оставить комментарий

    Создать аккаунт

    Зарегистрируйтесь для получения аккаунта. Это просто!

    Зарегистрировать аккаунт

    Войти

    Уже зарегистрированы? Войдите здесь.

    Войти сейчас
    ×
    ×
    • Создать...