Мария Карпович Ваше имя: Мария Локация: Беларусь, г. Сморгонь Опубликовано: 26 сентября 2019 Опубликовано: 26 сентября 2019 Здравствуйте, не могу выслать вам анкету не получается перемесить файлы. Вчера прочитала ваш форум, наткнулась на анализе мочи на простейших, которых выявили. Вы писали, что это единственный случай. У меня такие же проблемы с черепахами: колим Байтрилом 7 сутки, результата ноль. Я сама врач-патологоанатом, прочитав форум про простейших, получилось собрать мочу, так как я работаю с микроскопом сразу же поместила на стекло и под покровное стекло. И да, там очень много постоянно движущихся овальных, круглых микроорганизмов. Так что это уже второй случай. А мы лечим, я уже подумывала над противогрибковыми препаратами, а тут нарвалась на разговор в форуме о простейших. Большое вам спасибо. Может подскажите, как лечить дальше? 1. Из какого вы города (области)? Ваш возраст? РБ, Гродненская обл, г. Сморгонь 2. Вид черепахи? Если не знаете, просто укажите водная. Красноухая и желтоухая 3. Где содержится (пол, аквариум, террариум, контейнер)? Размер жилища? Какой объем воды в литрах? Аквариум на 100 л 4. Какое стоит оборудование? 4.1. Установлена ли лампа накаливания в качестве точки прогрева? Сколько часов работает в день? 12 часов 4.2. Установлена ли ультрафиолетовая лампа? Если да, то с каким спектром UVB%? Как называется и как давно установлена? Сколько часов работает в день? 10%, установлена 2 нед. Назад, работает 12 часов 4.3. Установлен ли берег? Что используется в качестве берега? 1 берег плот на магнтах, второй берег-пластик с исскуственной травой 4.4. Установлен ли фильтр для воды, если да, то какой, внешний/внутренний? Какая мощность? Фильтр внутренний Акваэль турбо 500. 4.5. Установлен ли нагреватель воды? Да, 28 радусов 5. Имеется ли грунт в жилище черепахи? Если да, то какой? Была галька, убрали, остались крупные камни. 6. Какая температура в жилище черепахи (воздуха/воды)? Воздух 32-34, вода 28 7. Что черепаха ест и как часто? Какие даете подкормки и как часто? Не ест 7 день 8. Возраст, точный вес и длина панциря черепахи? В чём проблема/болезнь? Как давно проявилась? Купили 2 недели назад одна 7 грамм, вторая 8 грамм. Через 3 дня после покупки прекратили есть, в воде не плавают, только на суше, открвают рты, из носа прозрачные пузыри, глаза закрыты. 9. Обращались ли в ветклинику? Как называется ветклиника? Как зовут врача (ФИО)? Вводились ли какие-то препараты, если да, то в каких дозировках? Что было сделано по рекомендациям врача? Герпетологов нет. Обращалась в ветклинику к врачу общей практики. Колим Байтрил, Катазол, рингер, Элеовит, Проторгол, Бетадин в виде ванночек, отвар ромашки.
Cosmic Ваше имя: Нулевой Локация: Испания, Валенсия Опубликовано: 26 сентября 2019 Опубликовано: 26 сентября 2019 @Мария Карпович Здравствуйте, а фото черепахи можете сделать и прикрепить?
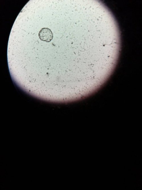
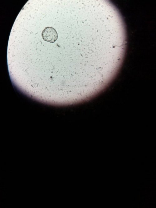
Мария Карпович Ваше имя: Мария Локация: Беларусь, г. Сморгонь Опубликовано: 26 сентября 2019 Автор Опубликовано: 26 сентября 2019 Здравствуйте, я сейчас на работе, фото с аквой вышлю вечером. Сегодня с утра закапывала носовые ходы черепахам и один пописал на бумагу, я собрала мочу в шприц, занесла на работу, каплю мочи вылила на стекло, закрыла покровным, в микроскопе даже на 40 разрешении они видны, в поле зрения очень много, все кишит ими, они разные: в виде черной точки, две точки, овальные, с черной, с прозрачной цитоплазмой и все двигаются, хаотично. Черепахи обезвожены, слабые, все время на суше. Я понимаю, что 7дней аб должны были дать результаты, но особых нет улучшений. И я наткнулась на ваш форум, повезло собрать мочу. Что мне делать?
Cosmic Ваше имя: Нулевой Локация: Испания, Валенсия Опубликовано: 26 сентября 2019 Опубликовано: 26 сентября 2019 @Мария Карпович Дождитесь пожалуйста ответа Консультанта по водным черепахам в течение дня.
Мария Карпович Ваше имя: Мария Локация: Беларусь, г. Сморгонь Опубликовано: 26 сентября 2019 Автор Опубликовано: 26 сентября 2019 Спасибо. В глаза капаю Тобрадекс по капле 3 раза в день, в носовые ходы Проторгол 3 раза в день, хотя бы могу в воде побыть, но стараются на сушу вылесть, открывают рот. Глаза понемногу открывают после капель. Не едят, пробую р—р Рингера с глюкозой в рот капать. На еду в воде реагируют, но не едят. Черные пятна на панцире тоже есть, появились, в начале болезни у одно из черепах, у нее же появились небольшие гнойнички в области нижнего века и угла рта. Обрабатываю хлоргексидином, купаю в ромашке, бетадине.
Консультанты moth Ваше имя: Мария Локация: Москва Опубликовано: 26 сентября 2019 Консультанты Опубликовано: 26 сентября 2019 @Мария Карпович здравствуйте. Напишите, пожалуйста, сколько и в какой дозировке сделали все препараты. Гексамитоз в точно определенном случае удалось вылечить метронидазолом в дозировке 50мг/кг в желудок 10 дней. Купите инъекционный метронидазол 5мг/мл и катетер для кошек (или любая тонкая трубочка/система от капельницы и т.п.) для черепашки 8г: ежедневно внутрь через зонд 0.08мл, 10 дней для черепашки 7г: ежедневно внутрь через зонд 0.07мл, 10 дней байтрил отменить обеим делать уколы поддерживающей терапии (одинаково для обеих) в одном шприце смешать раствор Рингера-Локка 0.06мл + один день 0.01мл катозал, другой 0.01мл 5% аскорбиновой кислоты (т.е. чередовать день одно день другое), растворы каждый день 5 дней делать, потом ещё 3 через день. Можно пытаться также через зонд вводить либо суп из перетёртого с водой рептомина, либо детское питание мясное не жирнее 6-7% без молока.
Мария Карпович Ваше имя: Мария Локация: Беларусь, г. Сморгонь Опубликовано: 26 сентября 2019 Автор Опубликовано: 26 сентября 2019 Если надо сняла видео и фото в микроскопе, как выглядят, как двигаются, но я не могу загрузить, не получается. Могу по вайберу, это умею, но куда?
Консультанты moth Ваше имя: Мария Локация: Москва Опубликовано: 26 сентября 2019 Консультанты Опубликовано: 26 сентября 2019 @Мария Карпович там ничего другое так бегать не будет тут вопрос в том - выдержат ли черепахи метронидазол, но выбора у Вас всё равно нет. Байтрил бы уже помог при обычной инфекции. Только обязательно колите раствор каждый день
Мария Карпович Ваше имя: Мария Локация: Беларусь, г. Сморгонь Опубликовано: 26 сентября 2019 Автор Опубликовано: 26 сентября 2019 Метронидазол в рот, растворы колоть, я правильно поняла? Может еще с в акве дезинфекцию провести. Мы 5 дней подрят кололи Катазол потом перерыв 2 дня. Его обратно колоть. А может метронидазол колоть инъекциями, может будет лучше? Ответьте, пожалуйста, через 30 минут идем к ветеринару.
Консультанты moth Ваше имя: Мария Локация: Москва Опубликовано: 26 сентября 2019 Консультанты Опубликовано: 26 сентября 2019 @Мария Карпович метронидазол только в рот. Катозал снова колите вместе с растворами, чередуя с аскорбинкой. День одно добавлять к рингеру, день другое. Дезинфекцию нужно будет под конец лечения проводить. А лучше на время лечения посадить их в какой-нибудь контейнер литров на 20.
Мария Карпович Ваше имя: Мария Локация: Беларусь, г. Сморгонь Опубликовано: 26 сентября 2019 Автор Опубликовано: 26 сентября 2019 Спасибо.
Мария Карпович Ваше имя: Мария Локация: Беларусь, г. Сморгонь Опубликовано: 26 сентября 2019 Автор Опубликовано: 26 сентября 2019 6 часов назад, Мария Карпович сказал: Здравствуйте, не могу выслать вам анкету не получается перемесить файлы. Вчера прочитала ваш форум, наткнулась на анализе мочи на простейших, которых выявили. Вы писали, что это единственный случай. У меня такие же проблемы с черепахами: колим Байтрилом 7 сутки, результата ноль. Я сама врач-патологоанатом, прочитав форум про простейших, получилось собрать мочу, так как я работаю с микроскопом сразу же поместила на стекло и под покровное стекло. И да, там очень много постоянно движущихся овальных, круглых микроорганизмов. Так что это уже второй случай. А мы лечим, я уже подумывала над противогрибковыми препаратами, а тут нарвалась на разговор в форуме о простейших. Большое вам спасибо. Может подскажите, как лечить дальше? 1. Из какого вы города (области)? Ваш возраст? РБ, Гродненская обл, г. Сморгонь 2. Вид черепахи? Если не знаете, просто укажите водная. Красноухая и желтоухая 3. Где содержится (пол, аквариум, террариум, контейнер)? Размер жилища? Какой объем воды в литрах? Аквариум на 100 л 4. Какое стоит оборудование? 4.1. Установлена ли лампа накаливания в качестве точки прогрева? Сколько часов работает в день? 12 часов 4.2. Установлена ли ультрафиолетовая лампа? Если да, то с каким спектром UVB%? Как называется и как давно установлена? Сколько часов работает в день? 10%, установлена 2 нед. Назад, работает 12 часов 4.3. Установлен ли берег? Что используется в качестве берега? 1 берег плот на магнтах, второй берег-пластик с исскуственной травой 4.4. Установлен ли фильтр для воды, если да, то какой, внешний/внутренний? Какая мощность? Фильтр внутренний Акваэль турбо 500. 4.5. Установлен ли нагреватель воды? Да, 28 радусов 5. Имеется ли грунт в жилище черепахи? Если да, то какой? Была галька, убрали, остались крупные камни. 6. Какая температура в жилище черепахи (воздуха/воды)? Воздух 32-34, вода 28 7. Что черепаха ест и как часто? Какие даете подкормки и как часто? Не ест 7 день 8. Возраст, точный вес и длина панциря черепахи? В чём проблема/болезнь? Как давно проявилась? Купили 2 недели назад одна 7 грамм, вторая 8 грамм. Через 3 дня после покупки прекратили есть, в воде не плавают, только на суше, открвают рты, из носа прозрачные пузыри, глаза закрыты. 9. Обращались ли в ветклинику? Как называется ветклиника? Как зовут врача (ФИО)? Вводились ли какие-то препараты, если да, то в каких дозировках? Что было сделано по рекомендациям врача? Герпетологов нет. Обращалась в ветклинику к врачу общей практики. Колим Байтрил, Катазол, рингер, Элеовит, Проторгол, Бетадин в виде ванночек, отвар ромашки. Скрытый текст видео с микроскопа
Cosmic Ваше имя: Нулевой Локация: Испания, Валенсия Опубликовано: 26 сентября 2019 Опубликовано: 26 сентября 2019 @Мария Карпович Мне кажется у Вас лампы что-то слишком высоко висят от террариума.
Мария Карпович Ваше имя: Мария Локация: Беларусь, г. Сморгонь Опубликовано: 26 сентября 2019 Автор Опубликовано: 26 сентября 2019 Видео с микроскопа БОчень сильно нагревают островок, я на него ставлю градусник, просто убрала его на время сьемки, температура 34 набигает за 5 мин и начинает повышаться дальше. Там 30 см до островка, может нагревательная лампа очень сильная, у нас несколько гвоздиков, можно опускать ниже в любой момент, но тогда я пожарю черепах. Постоянно контролируем температуру. Метронидазол дала. Отбивались, даже кусались.
Консультанты moth Ваше имя: Мария Локация: Москва Опубликовано: 26 сентября 2019 Консультанты Опубликовано: 26 сентября 2019 @Мария Карпович у Вас мощная ик лампа, её не надо ниже, а вот уф лампу надо 20-25см от берега.
Мария Карпович Ваше имя: Мария Локация: Беларусь, г. Сморгонь Опубликовано: 26 сентября 2019 Автор Опубликовано: 26 сентября 2019 Я катетеро не вводила, открала им рот , фиксировала большой гладкой канцелярской скрепкой и вливала в открытый рот Метронидазол плюс немного р— р Рингера , потому что очень маленькая дозировка препарата и не все введется ,из шприца инсулинового со съемной иглой. Самые тонкие катетеры можно найти в любом роддоме, попробовать попросить, хоть один. Мне дали, но я им не воспользовалась, мне с ним не удобно. Отек после тобрадекса спал, открывают глаза. А уф перевесим. Спасибо. В предыдущем ответе в начале опубликовала видео с микроскопа
Консультанты moth Ваше имя: Мария Локация: Москва Опубликовано: 26 сентября 2019 Консультанты Опубликовано: 26 сентября 2019 @Мария Карпович на видео мелко, не видно жгутики это или нет, нужно хотя бы х100. Вы завтра/послезавтра поймёте по динамике. При гексамитозе эффект от метронидазола быстро наступит. С вливанием осторожно, т.к. просто вливая можно в трахею попасть.
Podolnyi Ваше имя: Подольный Константин Локация: Украина, Днепр Опубликовано: 26 сентября 2019 Опубликовано: 26 сентября 2019 Рингер с метронидазолом нельзя одновременно, внутрь, давать. Соль кальция которая присутствует в этом растворе может образовать сильную связь с метронидазолом, который не всасется в жкт.
Мария Карпович Ваше имя: Мария Локация: Беларусь, г. Сморгонь Опубликовано: 26 сентября 2019 Автор Опубликовано: 26 сентября 2019 На 100 я не могу снять, очень маленький фокус, не снимается, пробовала. А еще мочу можно собрать на бумагу для выпечки, при обработке глаз, носа, черепаха висит в руке над ней, если повезет, то пописает от страха, у меня они писаются почти при каждой обработке, как пописают, собрать мочу можно в инсулиновый шприц. Это я в помощь если кому это надо. Поняла, спасибо, попробую с водой для инъекций. Сейчас скину фото с микроскопа, но по мне они круглые и есть овальные, а жгутиков, я даже на 100 не вижу.
Мария Карпович Ваше имя: Мария Локация: Беларусь, г. Сморгонь Опубликовано: 27 сентября 2019 Автор Опубликовано: 27 сентября 2019 Здравствуйте, нам немного лучше, 8 граммовая черепаха сама несколько раз плавала, но на поверхности, меньшая перестала вытягивать голову и открывать при этом рот, глаза открыты, уже передвигаются по бережку, попробывали кушать, но быстро потеряли охоту, маленькая немножко откусила. Выпали за время болезни несколько когтей, обрабатываю Тербинафином, в воде видны пленки, отходящие от кожи в области глаз. Взяла на анализ воду из аквы, завтра напишу результат, может тогда не надо будет мочи, достаточно взять воду из аквы на анализ, узнаю завтра. До сих пор на стекле, под покровным движутся эти паразиты. Посмотрим завтра, будут ли они там двигаться. Может кому пригодиться, носовые ходы осматриваю с помощи лупы и маленького фонарика, что заметила, в начале болезни эта слизь как бы закрыла эти ходы и воздух соответственно не проходил через них, ватной полочкой, смоченной в Септомерине очищала поверхность носа, проверяла проходимость лупой, они очищаются, а потом капала милли каплю проторгола на поверхность носика и под лупой наблюдала, капля уходила внутрь вся, значит нос задышал, они тогда меньше начинают открывать рот. Я бы потеряла 7граммовую черепашку, если бы не заметили вместе с ветеринаром, что дырочек почти не видно, и она уже постоянно была с открытым ртом, может так у них и происходит асфиксия, а если почистить нос, то они начинают им дышать. Я не знаю из анатомии, но может поэтому у них потом начинают опухать глаза, может там есть какието перекрестные ходы? И еще попробую подсказать, анализ мочи можно занести в любой морг, если нет других возможностей, попросить, я думаю не откажут, это дело 1 минуты, ну шоколадку дать, в крайнем случае, там же гистологию делают это наша основная работа, поэтому в каждом морге, где есть врач есть микроскоп и стекла. А можно и в обычную лабораторию для людей, где делают анализы мочи, они тоже с микроскопами, или даже в школе у учителя биологии.
Консультанты moth Ваше имя: Мария Локация: Москва Опубликовано: 27 сентября 2019 Консультанты Опубликовано: 27 сентября 2019 @Мария Карпович это очень полезная информация про нос. Буду иметь в виду и предлагать проверять в аналогичных случаях. после метронидазола хуже не становится? препарат сильный и дозировка тоже высокая, но необходимая в случае гексамитоза. Уже сделали второй раз?
Мария Карпович Ваше имя: Мария Локация: Беларусь, г. Сморгонь Опубликовано: 27 сентября 2019 Автор Опубликовано: 27 сентября 2019 Здравствуйте, сделали, активно кусались, я решила ничем его не разводить, чтобы меньше утекало. Весь день рты не открывали, нос дышит, опухоль глаз прошла, были гнойнички под нижними веками, макро как сухая коричневая корка, а в лупу - с жидким содержимым, очень водянистые, как мокнутия, Тобрадексом капала на закрытое веко, светила фонариком в закрытый глаз, а под лупой было видно, что реакция глаза на свет есть и он постепенно открывался, так капли попадали и внутрь нижнего века, ну не получалось у меня их открывать механически, приходилось хитрить, такие же и в уголках рта, обрабатывала Хлоргексидином и Тобрадексом прошли за 4 дня. С фонариком и лупой рассматривать это действительно другая картина, чем просто невооруженным глазом.
Консультанты moth Ваше имя: Мария Локация: Москва Опубликовано: 27 сентября 2019 Консультанты Опубликовано: 27 сентября 2019 @Мария Карпович глаза у них воспаляются от кожи, которая вокруг отмирает и забивает там всё. Поэтому нужны не только капли, но и элеовит для восполнения витамина А и чтобы кожа не отмирала. Рецидива не должно быть, т.к. витамины Вы сделали и воспаление тоже спало. Теперь ждать действия метронидазола.
Мария Карпович Ваше имя: Мария Локация: Беларусь, г. Сморгонь Опубликовано: 27 сентября 2019 Автор Опубликовано: 27 сентября 2019 Будем надеяться, что они поправяться. Спасибо.
Мария Карпович Ваше имя: Мария Локация: Беларусь, г. Сморгонь Опубликовано: 28 сентября 2019 Автор Опубликовано: 28 сентября 2019 Здравствуйте, 8 граммовый спал в воде ночью, но днем находятся на берегу и постоянно спят, не ели. Улучшения, только то, что открывают глаза и не открывают рот. Может у них сильная интоксикация простейшими, потому что в поле зрения их около 100. Воду в акве вчера поменяла, потому что какие-то белые хлопья были на поверхности, на всей. Продензифицировала все. Заменила всю воду, почистила фильтр. К сегодняшнему вечеру на поверхности обратно белые хлопья по всей поверхности. Воду на анализ смогу посмотреть только в понедельник. И еще не едят 14 днй, но какают. Как так может быть или у них замедлились все процессы?
Рекомендованные сообщения
Архивировано
Эта тема находится в архиве и закрыта для дальнейших сообщений.