Мария Карпович Ваше имя: Мария Локация: Беларусь, г. Сморгонь Опубликовано: 13 октября 2019 Автор Опубликовано: 13 октября 2019 @Podolnyi 30 минут назад умерла 8 граммовая черепашка. Умерла на берегу, втянула голову и все. Мы начали давать Нистатин взяли ее, смотрю без движения, один глаз приоткрыт, второй почти закрыт. У меня вопрос, я ее понюхала, исходит резкий, неприятный запах, неужели так быстро он может появиться, знаю, что 30 минут назад он был жив, потому что я пыталась их кормить и он открывал глаза, пытался плавать, когда заносила на берег, болтал лапками. Я хочу завтра его вскрыть, может это поможет оставшейся черепашке, а может, если и моей поздно, то поможет другим. На что мне обратить внимание? Что взять на гистологию? И как начинать, с брюшного панциря? Можно услышать ваше мнение.
Podolnyi Ваше имя: Подольный Константин Локация: Украина, Днепр Опубликовано: 14 октября 2019 Опубликовано: 14 октября 2019 Запах мог появится, когда после смерти расслабились сфинктера жкт. Вы особо ничего там не увидите. Если вы до этого черепах не вскрывали, вы ничего там не поймёте. Вторую черепаху кормите через зондом, это все что можно предложить, без уколов.
Мария Карпович Ваше имя: Мария Локация: Беларусь, г. Сморгонь Опубликовано: 14 октября 2019 Автор Опубликовано: 14 октября 2019 @Podolnyi Здравствуйте, я посмотрела видео о вскрытие черепахи. Что увидела макро: черное пятно справа в области печени, сняла наподобие диафрагмы пленочку, кровоизлияние в правую долю печени, кишечник не вздут, желудок пустой, слизистая его бледно—серо—желтого цвета, легкие воздушные, розового цвета. Все органы взяла на гистологию. Анализ мочи 7 граммовой — сегодня получила, посмотрела, число движущихся бактерий увеличилось, посравнению с анализом на последнем уколе Марбоцила. Значит на АБ они уменьшаются, но не хватает спектра действия. Посоветуйте, какую группу антибиотиков попробовать еще, можно из группы резерва. Ей с каждым днем все хуже. Может стоит рискнуть, потому что на данный момент, ее исход очевиден.
Podolnyi Ваше имя: Подольный Константин Локация: Украина, Днепр Опубликовано: 14 октября 2019 Опубликовано: 14 октября 2019 Я вам говорю ещё раз, бактерии в моче у рептилий = норма. У рептилий заболевания возникают (бактериальные, они же, чаще всего вторичные) на фоне условно-патогенных и патогенных бактерий. Мы никак не можем исключить заболевание вирусной этиологии (к чему я склоняюсь, учитывая исследования по красноухим черепахам - вирус семейства иридовирусов - ранавирус). По патогенности его можно, условно, прировнять к герпес-вирусу тех же среднеазиатских черепах. мы можем попробовать цефтазидим. Я не думаю, что нам следует рассматривать 4-ое поколение цейалоспоринов и группу карбопинемов. и ещё раз хочу отметить, что я склоняюсь к вирусному заболеванию, от того, и АБ не действуют. У нас нет тех ситуаций, при которых могли бы быть устойчивые микроорганизмы у черепах, которые болеют. Следовательно, тот же марбофлоксацин должен работать. И, если думать логически, черепахи болеют по всей России, первоначально имея хорошее самочувствие и как только попадают к владельцам начинаются проблемы. Проходит определённый инкубационный период и животные начинают болеть. Так же, хочу отметить, как в этом разделе, в теме про черепах эмидур. Человек к эмидурам 3 Красноухие черепахи, по итогу 2 с промежутком времени погибли, третья в плохом состоянии, а эмидурам ничего. Следовательно, было бы это бактериально, процесс и развития заболевания был бы одинаков, так же можно сказать и о вирусе, но видимо, Красноухие черепахи тропны к нему, а эти нет. Возьмите от умершей черепахи кровь и сделайте мазок. Окрасьте его по диф квику либо другим удобным способом и сбросьте. Сбросьте мне видео, я так же гляну. То что вы гистолог, это хорошо. Можно, по косвенным признакам будет понять о вирусной природе в тканях: вакуолизация, кариорексис и тд.
Мария Карпович Ваше имя: Мария Локация: Беларусь, г. Сморгонь Опубликовано: 14 октября 2019 Автор Опубликовано: 14 октября 2019 @Podolnyi Здравствуйте, кровь поздно брать, я все внутренние органы забрала на гистологию, они уже в формалине. Если рассматривать противовирусные препараты, какой можно попробовать? Я сегодня же начну давать, хуже уже не будет. Гистологию сфотографирую и пришлю.
Podolnyi Ваше имя: Подольный Константин Локация: Украина, Днепр Опубликовано: 14 октября 2019 Опубликовано: 14 октября 2019 Учитывая, что описывают исследования, отмечено проморганное поражение, с большим или меньшим преобладанием. Плюс, мы не знаем, каково звено иммунной системы поражено. Можно, конечно, пробовать применение ил-2 рекомбинантного человеческого, все что можем позволить. Интерферон опасно.
Мария Карпович Ваше имя: Мария Локация: Беларусь, г. Сморгонь Опубликовано: 14 октября 2019 Автор Опубликовано: 14 октября 2019 @Podolnyi Интерлейкин отсутсвует в регионах Беларусии, он наверное, у нас не запатентован. А дома у меня есть Интерферон. Я так понимаю, я ил—2 не достану. Давайте рискнем интерфероном? @Podolnyi Нашла в Минске Ронколейкин, но мне туда не добраться в ближайшее время.
Мария Карпович Ваше имя: Мария Локация: Беларусь, г. Сморгонь Опубликовано: 14 октября 2019 Автор Опубликовано: 14 октября 2019 @Podolnyi Дома есть еще ремантадин, но он на вирусы гриппа, ацикловир и сироп гроприносин, но они противогерпесные, генферон, но он в свечах, и интерферон в холодильнике.
Podolnyi Ваше имя: Подольный Константин Локация: Украина, Днепр Опубликовано: 14 октября 2019 Опубликовано: 14 октября 2019 Правда, лучше не вводить интерферон. Он может иметь три назначения : иммуностимуляция, терапевтическая (противовирусная) и иммуносупресивная - побочных явлений от него может быть много. Я бы кормил, вибро делал и церукал (но его вы не хотите)
Мария Карпович Ваше имя: Мария Локация: Беларусь, г. Сморгонь Опубликовано: 14 октября 2019 Автор Опубликовано: 14 октября 2019 @Podolnyi @Podolnyi Церукал я им даю через рот, вибро делаю, но они с каждым днем все более угнетенные. Оставшаяся черепашка уже не реагирует на движение, глаза закрыты, даже, когда берешь на руки, после вибро никакого движения. Я понимаю, что все, что пробовали бесполезно, состояние ухудшается и подходит к концу, атония мышц конечностей и летаргия, все что имею на данный момент. Самое удивительное, что она с момента покупки в конце августа уже была не резвой, по сравнению с 8 граммовым, постоянно сидела на бережку и в воду особо не ходила, и черные пятна на панцире, именно у нее и они разрастаются, была на много слабее, чем8 гр, а вот не смотря ни на что, продолжает жить. Но осталось не долго, я это вижу, и от бессилия, что не могу помочь, очень тяжело. Я понимаю сегодня, завтра это последний шанс, что-то изменить, надежда умирает последней. Я готова рискнуть, может что—нибудь поменяется.
Podolnyi Ваше имя: Подольный Константин Локация: Украина, Днепр Опубликовано: 15 октября 2019 Опубликовано: 15 октября 2019 Можем цефтазидим, если хотите экспериментировать
Мария Карпович Ваше имя: Мария Локация: Беларусь, г. Сморгонь Опубликовано: 15 октября 2019 Автор Опубликовано: 15 октября 2019 @Podolnyi Здравствуйте, спасибо за ответ. Завтра должна быть гистология, я еду в командировку, вернусь вечером, если покрасят вечером, посмотрю и сброшу фото.
Podolnyi Ваше имя: Подольный Константин Локация: Украина, Днепр Опубликовано: 16 октября 2019 Опубликовано: 16 октября 2019 Будем ждать тогда
Мария Карпович Ваше имя: Мария Локация: Беларусь, г. Сморгонь Опубликовано: 16 октября 2019 Автор Опубликовано: 16 октября 2019 @Podolnyi Легкие @Podolnyi Легкие @Мария Карпович @Мария Карпович легкие на 40
Мария Карпович Ваше имя: Мария Локация: Беларусь, г. Сморгонь Опубликовано: 16 октября 2019 Автор Опубликовано: 16 октября 2019 Э@Podolnyi @Мария Карпович микро описание, что понимаю: в просвете альвеол эритроциты и эзинофиллы, в межальвеолярных перегородках эритроциты, большое количество эозинофиллов, плазмоциты и немного лейкоцитов. Огромное количество эозинофиллов!!! @Podolnyi В сосудах легкого наравне с эритроцитами— эозинофиллы. Это может быть аллергическая направленность?
Мария Карпович Ваше имя: Мария Локация: Беларусь, г. Сморгонь Опубликовано: 16 октября 2019 Автор Опубликовано: 16 октября 2019 @Podolnyi желудок: слизистая с лимфоплазмоцитарными элементами, местами с лейкоцитарной инфильтрацией и обратно эозинофиллы, мы так выставляем гастрит у человека, но аллергической природы, если есть эозинофиллы, в просвете единичных желез эозинофиллы, в подслизистом слое микроабсцесс с обломками лейкоцитов, полнокровие сосудов, мышечный слой норм. Еще какая то дистрофия по типу жировой, но могу ошибаться в слизистой желудка.
Мария Карпович Ваше имя: Мария Локация: Беларусь, г. Сморгонь Опубликовано: 16 октября 2019 Автор Опубликовано: 16 октября 2019 Печень на 4 разрешении: какая то киста на 6 часах и множество абсцессов, нет ошибаюсь это Гранулемы В центре обломки лейкоцитов в розовой гомогенной массе, может казеозный некроз???, по периферии вал из лимфоидных клеток в фибрине и эозинофиллы. Туберкулез??? Или что нибудь из гранулематозного воспаления??? Многоядерных клеток не хватает в гранулеме, но они присутствуют по препарату печени, не далеко от гранулем.
Мария Карпович Ваше имя: Мария Локация: Беларусь, г. Сморгонь Опубликовано: 16 октября 2019 Автор Опубликовано: 16 октября 2019 Я так понимаю, это они, у нас Пирогова—Ланганса они немножно другие. Это они на 40, я так понимаю многоядерные клетки? Ну вот они получше.
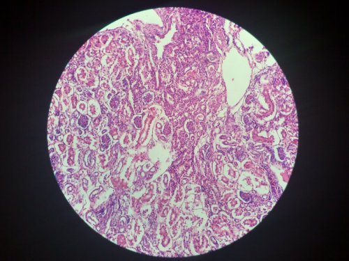
Мария Карпович Ваше имя: Мария Локация: Беларусь, г. Сморгонь Опубликовано: 16 октября 2019 Автор Опубликовано: 16 октября 2019 По периферии препарата кровоизлияния. Не могу разобраться с кистой, не понимаю, что внутри нее, может грибы или организующаяся ткань гематомы, какие то волокна или нити. Я понимаю это почки 20 разрешение, полнокровие сосудов и эозинофиллия, коллабированные клубочки, больше не могу ничего про них сказать
Мария Карпович Ваше имя: Мария Локация: Беларусь, г. Сморгонь Опубликовано: 16 октября 2019 Автор Опубликовано: 16 октября 2019 Нет, могу, там тоже гранулемы. Но многоядерных здесь не вижу. Это в почках еще гранулемы, очень много эозинофиллов по препарату.
Мария Карпович Ваше имя: Мария Локация: Беларусь, г. Сморгонь Опубликовано: 16 октября 2019 Автор Опубликовано: 16 октября 2019 Я так понимаю это петли кишечника. Подозрительного не вижу, только в центре петли одной есть фибрин и лейкоциты. Я не знаю откуда это, я нашла какое то желтое круглое образование и взяла его. Даю ближе.
Мария Карпович Ваше имя: Мария Локация: Беларусь, г. Сморгонь Опубликовано: 16 октября 2019 Автор Опубликовано: 16 октября 2019 Какая то жировая дистрофия и нити фибрина, ну не понимаю что это за орган. @Podolnyi Здравствуйте, посмотрите там многие фото объединялись, не умею работать с гаджетами. Пока я на территории больницы, что можно взять из лекарств. Какое ваше мнение, что это может быть? В легких гранулем нет. @Podolnyi вот обратно все объединило.
Cosmic Ваше имя: Нулевой Локация: Испания, Валенсия Опубликовано: 16 октября 2019 Опубликовано: 16 октября 2019 @Мария Карпович То что посты объединились это нормально, это сделано специально, чтобы не листать огромное количество постов от одного автора. Константин, обязательно все посмотрит как будет на месте.
Мария Карпович Ваше имя: Мария Локация: Беларусь, г. Сморгонь Опубликовано: 17 октября 2019 Автор Опубликовано: 17 октября 2019 @Podolnyi Здравствуйте, Константин, отпишитесь мне, пожалуйста, до обеда, хоть с какого препарата начинать. Я до обеда в больнице, смогу найти необходимые лекарства. Спасибо.
Мария Карпович Ваше имя: Мария Локация: Беларусь, г. Сморгонь Опубликовано: 17 октября 2019 Автор Опубликовано: 17 октября 2019 @Podolnyi Достала таблетк Рифампицин 150 мг, Изониазид 300 мг
Рекомендованные сообщения
Архивировано
Эта тема находится в архиве и закрыта для дальнейших сообщений.