strawberrymilk Ваше имя: Дарья Локация: Пенза Опубликовано: 1 октября 2020 Опубликовано: 1 октября 2020 Здравствуйте. В воскресенье моя черепаха меня обрадовала тем, что отложила свои первые яйца. Они оплодотворённые, так как самец у меня тоже в наличии. Но проблема не в яйцах, а в последствиях. После их выкладки самка разумеется стала очень вялой, ничего не ест, постоянно спит. Я думала, что за несколько дней она отойдёт, но сегодня заметила у неё на лапах (ближе к основанию, забыла как часть называется, там ещё кожные складки есть) отёки. Фото прилагаю. Так вот, насколько это серьёзная вещь? Ей наверняка очень больно, потому что лапы она дёргала, когда я аккуратно пыталась рассмотреть что там вообще за дела. На ощупь там всё плотное, раньше было мягкое. Есть идея, что она не все яйца отложила. Но те, что она отложила довольно крупные, не уверена, что в ней ещё бы поместилось хоть что-то. В общем, не знаю что делать, ветеринаров, разбирающихся в черепахах, в нашем городе я не знаю. Пожалуйста, помогите. P.S.: Черепахе около 24-25 лет, у меня живёт уже 12. Живёт в аквариуме с наполнителем в виде опилок. Питается в основном разными овощами (перец, морковь, капуста, салат, огурцы, кабачки итд.). Ультрафиолетовой лампы сейчас нет, разбилась, новую ещё не приобрели. Есть две лампы накаливания, обычная и дневная. Плюсом слежу за температурой в комнате, чтобы не было прохладно. У самки также были заболевания раньше: проблемы с позвоночником (по предположению вета - был раздавлен панцирь до того, как она оказалась у меня). Несколько лет назад у неё весь панцирь был красным, ездила тогда к ветеринару, он мне говорил, что она умрёт, лечение адекватного не назначил кроме витамин и глюкозы. Но тем не менее я её выходила и у неё всё прошло. За здоровьем всех черепах стараюсь следить. С остальными всё в порядке.
Консультанты moth Ваше имя: Мария Локация: Москва Опубликовано: 1 октября 2020 Консультанты Опубликовано: 1 октября 2020 @strawberrymilk здравствуйте. Я сразу предупрежу, что всё что я напишу будет не с целью Вас обидеть, а объяснить ситуацию как она есть в реальности. К сожалению, Вы не спаситель этой черепахи. Она все эти 12 лет живёт в неправильных условиях и по факту не живёт, а выживает. Не должна степная черепаха жить как хомячок на опилках и ей нельзя есть овощи, особенно капусту. У черепахи не раздавлен панцирь, это обычная форма панциря из-за дефицита кальция, д3 и витаминов. Он просто проваливается вниз из-за хрупкости костей, образуя "седло". У черепахи сейчас экстремальный дефицит кальция. По поводу кладки. Если там застряло или лопнуло яйцо - без герпетолога, способного сделать операцию она умрёт. Без вариантов. Вам нужно сделать рентген как можно быстрее просто лежа на животе. Срочно купить уф лампу 10-12%UVB и скорректировать условия хотя бы для второй черепахи, чтобы она жила нормально. Нельзя их кормить овощами вообще. Овощи - это пустой белок и фосфор, который вызывает у черепах развитие болезней нарушения метаболизма, нарушение работы почек, всякие подагры и т.п. вещи. Рацион степной черепахи - зелень, только трава. Летом с улицы, зимой - замороженная, сушеная, смеси салатов из магазина. И при каждом кормлении зелень должна посыпаться кальциевой подкормкой. Всю жизнь. Черепах купать ежедневно по 20-30 минут, температура воды 28-30 градусов. Я сейчас спрошу у нашего герпетолога можно ли ей до рентгена начать уколы делать. Вот памятка по условиям. Я не знаю можно ли спасти эту черепаху, но измените жизнь второй. Потому что сейчас это не жизнь
strawberrymilk Ваше имя: Дарья Локация: Пенза Опубликовано: 1 октября 2020 Автор Опубликовано: 1 октября 2020 @moth Спасибо за ответ. Относительно рациона, они у меня не питаются исключительно перечисленными овощами, они также в достаточном количестве едят фрукты. Летом они получают достаточно полезный рацион с учётом зелени, которая и продаётся и растёт в огороде. Если бы проблема была в рационе в прошлый раз, тогда бы и с другими черепахами происходило бы то же самое. Черепахи активные, хорошо едят, бегают, и по их самочувствию и состоянию панциря нельзя сделать вывод, что у них условия "выживания". Что касается ветеринаров-герпетологов, в городе их нет, уже позвонила в несколько клиник, даже в зоопарк позвонила. Так что выводы делаю для себя неутешительные. Рентген я надеюсь хотя бы обычный ветеринар сможет сделать?
Консультанты moth Ваше имя: Мария Локация: Москва Опубликовано: 1 октября 2020 Консультанты Опубликовано: 1 октября 2020 @strawberrymilk фрукты им вообще категорически нельзя.. никакие.. Понимаете, Вы не узнаете, что с черепахой что-то не так, пока она постепенно не начнёт становится вялой, больше спать, меньше есть. У них болезни эти развиваются годами и даже десятилетиями. Средняя продолжительность жизни черепахи в неволе с неправильными условиями 5-15 лет. А в природе они живут 50. У Ваших черепах у всех практически 100% деформированы панцири, клюв и морда. А бегать и есть они будут до самой смерти, это им никак не помешает умереть от отказа почек из-за вторичного гиперпаратиреоза. Там пройдёт пара месяцев от здоровой черепахи, до кровавого месива. И уже поздно будет что-то менять. Пришлите фото остальных черепах. Если там есть проблемы - нужно решать их сейчас, пока не поздно. Для этой черепахи нужны проекции рентгена Вентродорсальная (черепаха лежит на спине пластроном (животом) вверх) и правая латеральная. Купать её ежедневно 2 раза в день по 20 минут. Перед купанием делать вибротерапию - положить в небольшой контейнер и поставить на сильно вибрирующий прибор, можно телефон в режиме максимальной вибрации, 20 минут. Купить препараты Глюконат кальция в ампулах (чел) или Борглюконат кальция (вет), Элеовит (вет), взвесить черепаху на электронных весах, нужен точный вес. После рентгена будет понятно какие перспективы. Рентген можно сделать в любой клинике. Я не смогу Вас переубедить, что Вы содержите черепах неправильно. Я дам Вам всю необходимую информацию, помогу с этой черепахой на сколько возможно, но дальше это только Ваша ответственность. Если бы у этой черепахи в рационе были бы кальциевые подкормки, меньше овощей и фруктов, а больше зелени и хорошая уф лампа - этой ситуации скорее всего бы не было.
strawberrymilk Ваше имя: Дарья Локация: Пенза Опубликовано: 1 октября 2020 Автор Опубликовано: 1 октября 2020 @moth Ещё раз спасибо за рекомендации. Элеовит есть, глюконат кальция сейчас докупила. Сделала "вибротерапию", расшевелилась, сейчас купаю её. Рентген завтра в полдень сделаем, так как в большинстве вет. клиник или ветеринара нет, или рентгена. Вес также узнаю завтра, так как нет подходящих весов. Относительно дозировки препаратов можно же применять пока что предыдущую до завтрашнего дня? Элеовит 0,15 мл; гл. кальция 1 мл. Или будет лучше дождаться завтрашнего дня? Ей хуже за это время не станет? + Если колоть, то я боюсь колоть именно в складку, так как там уплотнение, о нём я писала выше. В таком случае куда ставить укол? Я не настаиваю на том, что я правильно их содержу, но и вы выводы делаете исходя из своих убеждений, а не из моих слов. Я переживаю о своих питомцах, поэтому очень многое изучала и о их содержании, и о их поведении, и различных видах болезней и о том, как они протекают. Не у всех есть возможность для дорогого ухода, но это не значит, что его нельзя обеспечить и что я не понимаю происходящего с ними. На фото две другие черепахи, не самка отложившая яйца. + А ещё я не знала, что черепаха беременна, так как до этого момента у них ничего никогда не получалось, а этим летом они у меня долгое время порознь находились из-за половой активности самца, сопровождающейся агрессией.
Консультанты moth Ваше имя: Мария Локация: Москва Опубликовано: 1 октября 2020 Консультанты Опубликовано: 1 октября 2020 @strawberrymilk один день ничего не изменит, поэтому сегодня только купайте и делайте вибро. Кал и моча у неё когда были последний раз? После рентгена и с точным весом я распишу Вам курс, самостоятельно ничего не колите. У обеих черепах на фото есть и авитаминоз и вторичный гиперпаратиреоз. У левой (если смотреть на фото) хуже с панцирем, у правой уже сильно деформирована морда. Их тоже нужно взвесить и обеим сделать Элеовит. Обязательно начать давать кальций с каждым кормлением, чтобы не делать уколы кальция. Желательно купить фирмы из памятки. Посыпать как приправой, чтобы были покрыты листья. вот картинка с фото как должно быть у здоровой черепахи и как выглядит у нездоровой. Я верю, что Вы их любите, но это не отменит факта, что они уже не здоровы и это нужно исправлять, если не хотите, чтобы стало хуже. У здоровой черепахи ровный панцирь без белых широких полос и бугров сверху, правильной формы без перекосов в сторону горба или седла, размер сопоставим с телом, а не "мал". Прямая морда с маленькими глазами, а не утиный вытянутый клюв и опухшие круглые веки. Сильные лапы на которых черепаха уверенно стоит и ходит, а не ползает отталкиваясь.
strawberrymilk Ваше имя: Дарья Локация: Пенза Опубликовано: 1 октября 2020 Автор Опубликовано: 1 октября 2020 @moth Последний раз при мне в четверг прошлый, тогда и ела. Плюс судя по месту, где были отложены яйца, она также и покакала тогда. К сожалению, с таким клювом они уже оказались у меня. С этим можно что-то поделать? Панцирь неровный только у самки, которая отложила яйца. Что касается лап и ходьбы, лапы у них мощные, они всегда на них бегают, приподнимая панцирь от земли.
Консультанты moth Ваше имя: Мария Локация: Москва Опубликовано: 1 октября 2020 Консультанты Опубликовано: 1 октября 2020 @strawberrymilk с клювом уже ничего не сделать, можно только не дать ему разрастаться дальше. Разрастается он из-за авитаминоза. Тогда ждём завтра результатов рентгена и дальше будем решать что делать.
Виктор Романов Ваше имя: Сергей Локация: Москва Опубликовано: 1 октября 2020 Опубликовано: 1 октября 2020 С таким придавленным на попе панцирем, я бы вам не советовал в будущем принуждать её к откладке яиц ссаживая с самцом, рано или поздно сформируется слишком крупное яйцо и оно не пролезет, возможно в будущем при правильном содержании с хорошим УФом, витаминами и кальцием, лет через десять, панцирь приобретет хоть какую то нормальную форму, панцирь приподнимется на попе и не будет таким покатым как горка, наверное сейчас можно сделать рентген посмотреть не застряло ли сейчас там яйцо
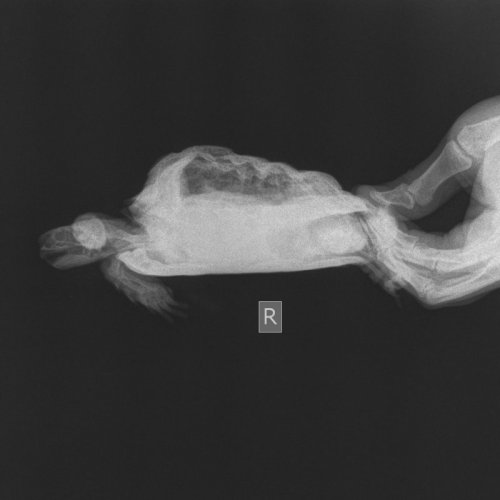
strawberrymilk Ваше имя: Дарья Локация: Пенза Опубликовано: 2 октября 2020 Автор Опубликовано: 2 октября 2020 @moth Съездили в вет. клинику на рентген. Ветеринар сказал, что у неё есть лёгочная недостаточность из-з продавленных 2 пластин. Вес черепах: 0.56, 0.48 и 0.42 кг.
Консультанты moth Ваше имя: Мария Локация: Москва Опубликовано: 2 октября 2020 Консультанты Опубликовано: 2 октября 2020 @strawberrymilk я снимки врачу переслала, напишу как ответит.
victoria146 Ваше имя: Виктория Локация: Воронеж Опубликовано: 2 октября 2020 Опубликовано: 2 октября 2020 @moth,@strawberrymilk подскажите, пожалуйста, как делается рентген сухопутке? Одна ветеринар мне сказала, что сперва черепахам нужно что-то вливать и только на следующий день становится что-то видно иначе (по её словам) просто без какой-то особой жидкости, от которой чепа будет светиться на рентгене, делать его смысла нет. Насколько это правда и можно ли принести в обычную клинику и сделать обычный рентген там? Живу в Воронеже, город миллионник, а клиник для рептилий нет.
Консультанты moth Ваше имя: Мария Локация: Москва Опубликовано: 2 октября 2020 Консультанты Опубликовано: 2 октября 2020 @victoria146 в Воронеже есть герпетолог Татьяна Волкова https://vk.com/vetpomoshvrn. Я не знаю на сколько она квалифицированный врач, но по постам в ВК я не нашла ничего плохого или сильно неправильного от неё. Думаю рентген она точно сможет сделать. Но вообще рентген с контрастом делают только при подозрении на непроходимость. Всё остальное можно посмотреть просто так, главное в правильной проекции и чтобы оборудование было хорошее. @strawberrymilk по снимкам врач увидел фолликулы увеличенные, они давят на другие органы. Нужно колоть кальций, Элеовит, делать вибротерапию. У самки какой вес?
victoria146 Ваше имя: Виктория Локация: Воронеж Опубликовано: 2 октября 2020 Опубликовано: 2 октября 2020 @moth поняла, спасибо! а не подскажете, если мне бы хотелось сделать биохимию крови, чтобы просто узнать вдруг каких витамин не хватает, или же что-то в избытке, это можно сделать просто в целях профилактики? Не является ли эта процедура болезненной для черепах?
Консультанты moth Ваше имя: Мария Локация: Москва Опубликовано: 2 октября 2020 Консультанты Опубликовано: 2 октября 2020 @victoria146 всё зависит от квалификации врача. Обычный ветеринар кровь у черепахи взять не сможет. А посредственный герпетолог не сможет правильно результаты истолковать, т.к. многие параметры изменяются от тех или иных заболеваний и дают ложную картину. Я не могу сказать сможет ли Татьяна что-то такое сделать. Тут даже в Москве/Питере кровь не особо любят брать у черепах, хотя по протоколу положено. Назначают стандартную схему лечения и всё. Обычно черепахи приходят с одними и теми же заболеваниями из-за нарушения метаболизма и лечение либо поможет, если ещё не всё запущено, либо уже нет и там бери/не бери - смысла нет. В теории можно сделать анализ и показать его хорошему герпетологу, но если там будет требоваться очное лечение - опять таки этого делать некому.
strawberrymilk Ваше имя: Дарья Локация: Пенза Опубликовано: 2 октября 2020 Автор Опубликовано: 2 октября 2020 @moth У самки 560 грамм. Я уже рассчитала дозировку через калькулятор на сайте, поставила уколы. Также мыла и делала вибротерапию. И что делать с воспалением фолликул? Оно само пройдёт?
Консультанты moth Ваше имя: Мария Локация: Москва Опубликовано: 2 октября 2020 Консультанты Опубликовано: 2 октября 2020 @strawberrymilk я же написала, чтобы самостоятельно ничего не кололи калькулятор на сайте содержит дозировки средние по больнице и для каждого заболевания они разные, прям в сообщении указала на это внимание ну куда спешите то хоть убирай его, честное слово.. Элеовит укололи? если да, то сколько? Глюконат кальция 0.56мл под кожу в складку задней лапы ежедневно 5 дней (завтра пропускаете, т.к. по калькулятору вкололи много), затем через день ещё 5 раз, затем раз в 72 часа ещё 4 раза и затем раз в 96 часов ещё 4. Вибротерапию делать неделю, купать ежедневно.
strawberrymilk Ваше имя: Дарья Локация: Пенза Опубликовано: 2 октября 2020 Автор Опубликовано: 2 октября 2020 @moth Элеовит 0,22 мл. Я правильно понимаю: завтра пропускаю; затем 5 дней колю раз в 24 часа по 0.56 мл; затем 4 раза раз в 72 часа; и 4 раза раз в 96 часов? Элеовит с такой же периодичностью нужно будет колоть или реже?
Консультанты moth Ваше имя: Мария Локация: Москва Опубликовано: 2 октября 2020 Консультанты Опубликовано: 2 октября 2020 @strawberrymilk элеовит второй укол такой же через 2 недели и третий через 3 недели после второго. Кальций завтра пропускаете, потом 3 дня каждый день (5 дней это всего уколов каждый день, но т.к. Вы сегодня укололи больше - завтра просто день вылетает), затем уже колете через день и т.д. Остальным черепахам элеовит тоже сделали?
strawberrymilk Ваше имя: Дарья Локация: Пенза Опубликовано: 2 октября 2020 Автор Опубликовано: 2 октября 2020 @moth Поняла, спасибо. Да. Самцу (у него масса меньше) 0.16 и другой самке 0.19 мл.
Julianna Ваше имя: Юлия Локация: Одесса, Украина Опубликовано: 2 октября 2020 Опубликовано: 2 октября 2020 @moth , уже давно хотела указать на то, что с сайта желательно убрать калькуляцию лечения, так как калькулятор на сайте содержит дозировки средние по больнице и для каждого заболевания они разные Многие черепашатники, не регистрируясь на сайте, используют эти дозировки в лечении своих питомцев, что в итоге, наносит им вред,
Консультанты moth Ваше имя: Мария Локация: Москва Опубликовано: 2 октября 2020 Консультанты Опубликовано: 2 октября 2020 @strawberrymilk им также второй укол через 2 недели, третий не нужно. @Julianna я попрошу Милану там сделать уточнение, чтобы люди сами лечение не назначали без консультации на форуме хотя бы.
Julianna Ваше имя: Юлия Локация: Одесса, Украина Опубликовано: 2 октября 2020 Опубликовано: 2 октября 2020 11 минут назад, moth сказал: @Julianna я попрошу Милану там сделать уточнение, чтобы люди сами лечение не назначали без консультации на форуме хотя бы. Спасибо. Это было бы правильно.
Рекомендованные сообщения
Архивировано
Эта тема находится в архиве и закрыта для дальнейших сообщений.