Антон123 Ваше имя: Антон Локация: Москва Опубликовано: 7 апреля 2022 Опубликовано: 7 апреля 2022 1. Москва, 36 2. Красноухая. 3. Содержится в аквариуме Размер жилища большой, в литрах не мерил, см.фото 4. Лампа накаливания в качестве точки прогрева установлена, работает по таймеру с 9 до 21. Ультрафиолетовая лампа UVB10 SimpleZooBulk месяц как менял. Работает с 9 до 21. 4.3. Берег есть 4.4 фильтр для воды, внутренний 4.5. Нагреватель воды установлен 5. Грунта нет 6. Температура воды 26, на бережке под лампой 33 7. Ест 2 раза в неделю, в основном нежирную рыбу. Подкормки есть, но давно не давал 8. Возраст 5-6 лет, вес 370грам, длина панциря 14см В чём проблема/болезнь? Как давно проявилась? Сидит на берегу, чаще всего с закрытыми глазами. Вялая. Состояние такое уже 2-3 недели. Плавает без крена. От еды до сегодняшнего дня не отказывалась. Сегодня уже и ела совсем чуть-чуть и еле-еле. 9. Приезжала врач, рекомендовала сделать рентген, на всякий случай уколола кальций и оставила еще, чтобы мы кололи через день. Рентген приложил здесь, фото всего остального по ссылке ниже 10. https://postimg.cc/gallery/8zGcDFG
Консультанты moth Ваше имя: Мария Локация: Москва Опубликовано: 7 апреля 2022 Консультанты Опубликовано: 7 апреля 2022 @Антон123 здравствуйте а витамины не колола врач? вот эта лампа обогрева давно используется?
Антон123 Ваше имя: Антон Локация: Москва Опубликовано: 7 апреля 2022 Автор Опубликовано: 7 апреля 2022 (изменено) 3 минуты назад, moth сказал: @Антон123 здравствуйте а витамины не колола врач? вот эта лампа обогрева давно используется? Витамины не колола, но я теперь стал давать порошок TerraVit от JBL с едой Лампе обогрева месяц. До нее была другая пока не перегорела Изменено 7 апреля 2022 пользователем Антон123
Консультанты moth Ваше имя: Мария Локация: Москва Опубликовано: 7 апреля 2022 Консультанты Опубликовано: 7 апреля 2022 @Антон123 эту лампу нужно заменить на обычную накаливания. Такие галогенные лампы выделяют вредный ультрафиолет, их не желательно использовать. У черепахи внешне есть признаки авитаминоза, нарушения линьки. Вам бы хорошо бы было её показать очно хорошему герпетологу. И никогда никаким животным не вызывайте врача на дом. Это зря потраченные время и деньги. Дома невозможно адекватно осмотреть животное и помочь ему. А денег стоит как за полноценный приём, а то и дороже. Вот список проверенных герпетологов https://cherepahi.ru/web/spravka/1205-spravochnik-moskva лучше сходить к Васильеву, Куторову, Токаревой или Швед если не можете сходить на приём, то черепахе нужно сделать один укол витаминов Элеовит. Порошки ей бесполезно давать, они внутрь не попадут. Если будете сами делать укол витаминов, то купите препарат и инсулиновый шприц, я Вам тогда посчитаю дозировку.
Антон123 Ваше имя: Антон Локация: Москва Опубликовано: 7 апреля 2022 Автор Опубликовано: 7 апреля 2022 Как раз сегодня купил Элеовит и инсулиновые шприцы.
Консультанты moth Ваше имя: Мария Локация: Москва Опубликовано: 7 апреля 2022 Консультанты Опубликовано: 7 апреля 2022 @Антон123 Элеовит 0.15мл в мышцу попы один укол. И дальше нужно смотреть по состоянию. Кальций в какой дозировке прописали?
Антон123 Ваше имя: Антон Локация: Москва Опубликовано: 7 апреля 2022 Автор Опубликовано: 7 апреля 2022 (изменено) 6 минут назад, moth сказал: @Антон123 Элеовит 0.15мл в мышцу попы один укол. И дальше нужно смотреть по состоянию. Кальций в какой дозировке прописали? Кальций получается позавчера уколола врач в дозировке 0,025мл и я сегодня столько же уколол. Но врач назначала дозировку "на глаз" т.к. взвесить получилось черепаху только сегодня Изменено 7 апреля 2022 пользователем Антон123
Консультанты moth Ваше имя: Мария Локация: Москва Опубликовано: 7 апреля 2022 Консультанты Опубликовано: 7 апреля 2022 @Антон123 уверены, что такую дозировку? это очень маленькое значение, всего одно самое маленькое деление
Антон123 Ваше имя: Антон Локация: Москва Опубликовано: 7 апреля 2022 Автор Опубликовано: 7 апреля 2022 (изменено) Ну вроде да. Шприц на 1мл. Сто делений. Вот 2,5 таких деления. Получается 0,01*2,5=0,025 Изменено 7 апреля 2022 пользователем Антон123
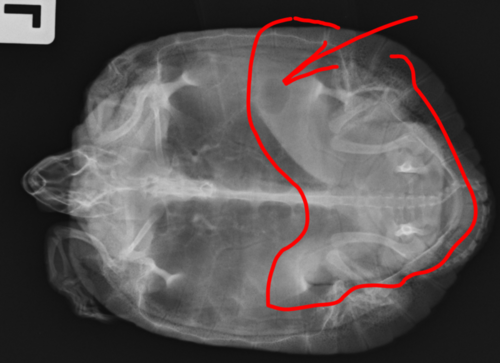
Антон123 Ваше имя: Антон Локация: Москва Опубликовано: 7 апреля 2022 Автор Опубликовано: 7 апреля 2022 (изменено) А нет. Шприц на 1мл. 50 делений. Вот 2,5 таких деления. Получается 0,02*2,5=0,05 И! Забыл написать в самом начале. Пару дней назад черепаха зависла не шевелясь в воде с открытым ртом и так и висела. А когда доставал ее на сушу, она бодро бежала назад в воду. И было ощущение, что она не может уходить на дно Также на самом нижнем рентгеновском снимке мне кажется что-то не то в нижней части черепахи. Изменено 7 апреля 2022 пользователем Антон123
Консультанты moth Ваше имя: Мария Локация: Москва Опубликовано: 8 апреля 2022 Консультанты Опубликовано: 8 апреля 2022 @Антон123 нет, Вы неправильно считаете 0.02 нужно умножить на количество маленьких делений, т.е. 0.02+12.5=0.25 т.е. Элеовит Вам нужно набрать по середине между 10 и 20 на шкале На рентгене это скорее всего скопление газов
Антон123 Ваше имя: Антон Локация: Москва Опубликовано: 8 апреля 2022 Автор Опубликовано: 8 апреля 2022 3 часа назад, moth сказал: @Антон123 нет, Вы неправильно считаете 0.02 нужно умножить на количество маленьких делений, т.е. 0.02+12.5=0.25 т.е. Элеовит Вам нужно набрать по середине между 10 и 20 на шкале На рентгене это скорее всего скопление газов да не, шприц я отвел, чтобы черным не закрывал шкалу внизу. А сколько набиралось кальция отметил желтой чертой
Консультанты moth Ваше имя: Мария Локация: Москва Опубликовано: 8 апреля 2022 Консультанты Опубликовано: 8 апреля 2022 @Антон123 а, я её не заметила а кальций какой? глюконат или борглюконат? в любом случае это какая-то мизерная дозировка, от такого количества ни тепло ни холодно
Антон123 Ваше имя: Антон Локация: Москва Опубликовано: 8 апреля 2022 Автор Опубликовано: 8 апреля 2022 борглюконат. а сколько надо его колоть и колоть ли?
Консультанты moth Ваше имя: Мария Локация: Москва Опубликовано: 8 апреля 2022 Консультанты Опубликовано: 8 апреля 2022 @Антон123 Вы рыбу давали с костями и внутренностями?
Антон123 Ваше имя: Антон Локация: Москва Опубликовано: 8 апреля 2022 Автор Опубликовано: 8 апреля 2022 @moth только мякоть(
Консультанты moth Ваше имя: Мария Локация: Москва Опубликовано: 8 апреля 2022 Консультанты Опубликовано: 8 апреля 2022 @Антон123 тогда нужно колоть Борглюконат кальция 0.14мл под кожу в складку задней лапы через день, курс 5 инъекций. Если Борглюконата оставили мало, то можете в обычной аптеке купить Глюконат кальция в ампулах и колоть 0.28мл @Антон123 ну и корректировать рацион рыба должна быть с кишками и костями обязательно, иначе черепаха не получает кальций и витамины. Либо переводите на корм Рептомин или Sera carnivor professional
Антон123 Ваше имя: Антон Локация: Москва Опубликовано: 8 апреля 2022 Автор Опубликовано: 8 апреля 2022 @moth Благодарю! А нужно ли колоть антибиотик?
Консультанты moth Ваше имя: Мария Локация: Москва Опубликовано: 8 апреля 2022 Консультанты Опубликовано: 8 апреля 2022 @Антон123 пока нет по этим снимкам нельзя понять есть проблемы с лёгкими или нет, нужны другие проекции
Антон123 Ваше имя: Антон Локация: Москва Опубликовано: 8 апреля 2022 Автор Опубликовано: 8 апреля 2022 @moth у меня еще вторая черепаха есть, у нее никаких симптомов нет. Ей можно профилактически уколоть элеовит и кальций? Вес 812грам. Попала к нам с рахитом лет 5 назад, но вымахала больше самца который сейчас приболел.
Консультанты moth Ваше имя: Мария Локация: Москва Опубликовано: 8 апреля 2022 Консультанты Опубликовано: 8 апреля 2022 @Антон123 если у неё нет симптомов, то для неё лечением будет коррекция условий содержания. Просто так не надо колоть.
Антон123 Ваше имя: Антон Локация: Москва Опубликовано: 8 апреля 2022 Автор Опубликовано: 8 апреля 2022 @moth Благодарю, буду лечить ?
Антон123 Ваше имя: Антон Локация: Москва Опубликовано: 13 апреля 2022 Автор Опубликовано: 13 апреля 2022 @moth Сегодня купал в теплом растворе метиленового синего. После купания в воде появился большой комок слипшейся зеленой пластиковой травы с полочки. Видимо была пробка, которая вышла. Могла быть это причиной вялости? ПС. За эти дни я уколол однократно элеовит, два раза кальций. Каждый день купаю в теплом ромашке, через день в ромашке с левомицетином, и через день в метиленовом синем.
Гость Pashtetreal Опубликовано: 13 апреля 2022 Опубликовано: 13 апреля 2022 @Антон123 замените покрытие на силиконовый коврик для ванны
Консультанты moth Ваше имя: Мария Локация: Москва Опубликовано: 13 апреля 2022 Консультанты Опубликовано: 13 апреля 2022 @Антон123 конечно могла. Непроходимость вызывает сильную интоксикацию и может привести к некрозу части кишечника. Это не метиленовый помог, это кальций с элеовитом стимулируют работу жкт и трава начала двигаться. Можете ещё добавить вибротерапию - положить черепаху в небольшой контейнер без воды и поставить на сильно вибрирующий прибор на 10-15 минут раз в день. Это также поможет ускорить движение по жкт.
Рекомендованные сообщения
Создайте аккаунт или войдите в него для комментирования
Вы должны быть пользователем, чтобы оставить комментарий
Создать аккаунт
Зарегистрируйтесь для получения аккаунта. Это просто!
Зарегистрировать аккаунтВойти
Уже зарегистрированы? Войдите здесь.
Войти сейчас