Перейти к публикации

Ателектаз легкого


DmitryT

Рекомендованные сообщения

  • Ваше имя: Фера
  • Локация: Россия, Москва
  • Опубликовано:

    1) РФ МСК

    2) Красноухая черепаха

    3) Акватеррариум - 150л, УФ - UBV terra 5.0, ЛН - 40вт работают по 10ч в день. Фильтр aqual на 500 литров,  обогреватель aqual на 300 литров. Грунта нет. Тем воды - 29, суша -32.

    рацион - речная рыба, мясо + лист салата, 2 раза в неделю  + витамины. Вес - 618 гр.

    Где-то недели 2 назад черепаха каким-то образом выпала из акватеррарима (живет в нем уже 3 года).

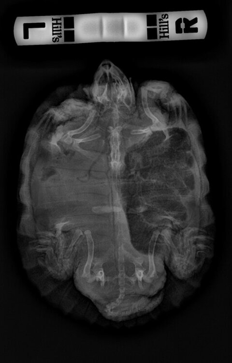
     Увидел крен на бок,  обратились к герпетологу, сделали рентген, поставили диагноз - Ателектаз правого легкого.

    Назначили 4 дневный курс - флексопрофена внутримышечно по 0,12 мл и 10 - дневный курс ингаляции Пульмикорта + физраствор.

    В общем, черепаха первые дни после курса была активной, потом стала вялой и очень плохо ела. Сделали позавчера повторный снимок, объем легкого еще меньше стал.

    Врач сказал , что легкое уже не спасти и нужно наблюдать за динамикой. По ощущениям стало еще хуже, постоянно на берегу сидит и глаза не открывает, кладу его в воду на 5 мин каждый день, он даже там глаза не открывает. Подскажите,  что еще можно сделать, чтобы помочь моей черепашке, и какие шансы на то, что он будет жить.

     

     

     

     

     

    ПОСЛЕ.jpg

    ДО.PNG

    • Консультанты
  • Ваше имя: Мария
  • Локация: Москва
  • Опубликовано:

    @DmitryT здравствуйте!

    у какого врача Вы были?

  • Ваше имя: Фера
  • Локация: Россия, Москва
  • Опубликовано:

    Был у двух  врачей Бойцовой М.Д и Вольфа Э.Г. - отличные специалисты! 

    На форум обратился за доп. помощью.

    Может кто-то сталкивался с подобным и есть еще варианты лечения/ухода за черепахой.

     

     

     

     

    • Консультанты
  • Ваше имя: Мария
  • Локация: Москва
  • Опубликовано:

    @DmitryT да, это отличные специалисты и если оба сказали так, то это так. Мы тут ничем другим не поможем, к сожалению.

    Единственное, Вы можете попробовать ещё к Васильеву Дмитрию Борисовичу сходить на приём - это отец герпетологии РФ, может он что-то ещё сможет предложить. Он в Белом Клыке на Красной Пресне принимает. 

    Создайте аккаунт или войдите в него для комментирования

    Вы должны быть пользователем, чтобы оставить комментарий

    Создать аккаунт

    Зарегистрируйтесь для получения аккаунта. Это просто!

    Зарегистрировать аккаунт

    Войти

    Уже зарегистрированы? Войдите здесь.

    Войти сейчас
    ×
    ×
    • Создать...