Черепухина Ваше имя: Эльза Локация: Москва Опубликовано: 14 апреля 2023 Опубликовано: 14 апреля 2023 Из какого вы города (области)? Ваш возраст? Московская область, 14 лет Вид черепахи? Если не знаете, просто укажите сухопутная. Среднеазиатская Где содержится (пол, аквариум, террариум, контейнер)? Размер жилища? Террариум 2 м на 1,5 м Какое стоит оборудование? 4.1. Установлена ли лампа накаливания в качестве точки прогрева? Сколько часов работает в день? Стоит керамическая лампа, работает с 6 утра до 7 вечера 4.2. Установлена ли ультрафиолетовая лампа? Если да, то с каким спектром UVB%? Как называется и как давно установлена? Сколько часов работает в день? Да, стоит УФ лампа Аркадия Desert, я убираю ее с середины апреля до августа, так как черепахи весной при температуре больше 24 градусов гуляют 1,5 часа каждый день, а в разгар лета живут в летнем вольере. Имеется ли грунт в жилище черепахи? Если да, то какой? Песок + земля Какая температура в жилище черепахи под лампой накаливания/фоновая? Под лампой 32-33 градуса, общая 24 градуса Что черепаха ест и как часто? Какие даете подкормки и как часто? Черепаха ест раз в три дня. Зимой сушку/заморозку с лета, летом соответственно траву Возраст, точный вес и длина панциря черепахи? В чём проблема/болезнь? Как давно проявилась? Вес 1 кг 450 граммов, зимой слегка похудела, так обычно 1,5 кг. Подкормки витамины ЭКЗОВИТ, кальций самодельный. Обращались ли в ветклинику? Как называется ветклиника? Как зовут врача (ФИО)? Вводились ли какие-то препараты, если да, то в каких дозировках? Что было сделано по рекомендациям врача? Да, ездили с ней в ветклинику, называлась " Созвездие", имя врача не помню. По поводу проблемы она тольком ничего и не сказала, мол, " вам дырки от зубов надо было заделывать в момент укуса, сейчас уже ничего не сделать". Зато у нас взяли кровь и вкололи витамины за миллион рублей. В общем, проблема только усугубилась к сожалению ? в чем, собственно, проблема: 15 лет назад эту черепаху покусал питбультерьер. тогда она жила в коробке у деда под столом, родители не знали о такой профессии как " герпетолог", и с ней никуда после происшествия не поехали. Видимо, она чудом выжила. Сейчас я стала замечать, что места, куда вошли зубы, заметно ухудшились, они стали мягкие, и вокруг дырки отламываются целые куски верхнего слоя панциря. Меня это очень тревожит, но я не знаю, что делать. Родителей я больше не смогу уговорить поехать за три девять земель с черепахой. Они говорят, что " если она ползает и ест значит она здорова", но меня это не успокаивает. Скажите пожалуйста, может быть мне чем то заклеить эти дырки? Буду очень благодарна ответу.
Консультанты moth Ваше имя: Мария Локация: Москва Опубликовано: 14 апреля 2023 Консультанты Опубликовано: 14 апреля 2023 @Черепухина здравствуйте! а на фото так отсвечивает или белые участки реально белые? @Черепухина а когда ко врачу ездили?
Черепухина Ваше имя: Эльза Локация: Москва Опубликовано: 15 апреля 2023 Автор Опубликовано: 15 апреля 2023 (изменено) @moth Да, у нее реально такие белые участки. Как у беззуки с внутрутренней стороны раковины. Они не мягкие. Ко врачу ездили примерно год назад. Изменено 15 апреля 2023 пользователем Черепухина
Консультанты moth Ваше имя: Мария Локация: Москва Опубликовано: 15 апреля 2023 Консультанты Опубликовано: 15 апреля 2023 @Черепухина а мягкие только места укусов? они прям мягкие? влажные? или только рыхлые?
Черепухина Ваше имя: Эльза Локация: Москва Опубликовано: 15 апреля 2023 Автор Опубликовано: 15 апреля 2023 (изменено) @moth Да, мягкие только дырки, куда зубы вошли, и вокруг них в радиусе примерно пол сантиметра.В этих местах панцирь потерял свою прочность, и, походу, разрушается. То есть от туда можно без особых усилий отломить кусок ( я не пробовала, но это заметно), причем крупный, до 1 см в длину у нее могут отваливаться. Ну, больше наверное " рыхлые". Если я какой - нибудь кусок ее панциря отвалившийся замечу, я фото могу прислать, как это выглядит. Изменено 15 апреля 2023 пользователем Черепухина
Черепухина Ваше имя: Эльза Локация: Москва Опубликовано: 15 апреля 2023 Автор Опубликовано: 15 апреля 2023 1 час назад, Черепухина сказал: @moth Да, мягкие только дырки, куда зубы вошли, и вокруг них в радиусе примерно пол сантиметра.В этих местах панцирь потерял свою прочность, и, походу, разрушается. То есть оттуда можно без особых усилий отломить кусок ( я не пробовала, но это заметно), причем крупный, до 1 см в длину у нее могут отваливаться. Ну, больше наверное " рыхлые". Если я какой - нибудь кусок ее панциря отвалившийся замечу, я фото могу прислать, как это выглядит.
Консультанты moth Ваше имя: Мария Локация: Москва Опубликовано: 15 апреля 2023 Консультанты Опубликовано: 15 апреля 2023 @Черепухина я нашему герпетологу опишу ситуацию, но боюсь здесь без поездки к герпетологу не выйдет. Нужно брать соскоб с этих мест и смотреть что там - грибок, инфекция или что-то ещё. Я могу Вам подобрать хорошего врача с низкими ценами, Вы тогда были в дорогой клинике.
Черепухина Ваше имя: Эльза Локация: Москва Опубликовано: 15 апреля 2023 Автор Опубликовано: 15 апреля 2023 @moth Спасибо большое, но к герпетологу я не смогу поехать, потому что тогда я все сама оплатила, а сейчас у меня нету финансов, и еще родители со мной опять не поедут. У меня есть профессиональный микроскоп, я могу сама посмотреть? Предметные стекла есть. Я понимаю, что это самый ужасный вариант, но скорее всего это единственное, что я могу сделать ? 5 часов назад, moth сказал: @Черепухина я нашему герпетологу опишу ситуацию, но боюсь здесь без поездки к герпетологу не выйдет. Нужно брать соскоб с этих мест и смотреть что там - грибок, инфекция или что-то ещё. Я могу Вам подобрать хорошего врача с низкими ценами, Вы тогда были в дорогой клинике. Ну, это тогда был мой первый опыт поездки к герпетологу, смотрела по рейтингу, поэтому столько вышло. Около 15 тыс, хотя проблему в итоге так и не рассмотрели. Зато кровь взяли
Консультанты moth Ваше имя: Мария Локация: Москва Опубликовано: 15 апреля 2023 Консультанты Опубликовано: 15 апреля 2023 @Черепухина я это тоже уточню, может и сможете посмотреть 1
Консультанты moth Ваше имя: Мария Локация: Москва Опубликовано: 16 апреля 2023 Консультанты Опубликовано: 16 апреля 2023 @Черепухина ответ врача: Можно попробовать сделать соскоб с мягких частей панциря и поискать там бластоспоры или гифы грибов. Бактерии, скорее всего, видны не будут без покраски... Хотя, если есть хотя бы Диф Квик - можно им попробовать покрасить. Надеюсь Вам что-то понятно из этого. Я ещё попросила врача посчитать сколько будет стоить осмотр такой черепахи у неё в клинике
Черепухина Ваше имя: Эльза Локация: Москва Опубликовано: 16 апреля 2023 Автор Опубликовано: 16 апреля 2023 @moth Спасибо Вам огромное! Да, мне все понятно, у меня мама терапевт, а я хочу стать герпетологом. Красящих веществ на данный момент нету, но это не проблема, куплю. Фотографии соскоба под микроскопом можно Вам на форум прислать? 1 час назад, moth сказал: @Черепухина ответ врача: Можно попробовать сделать соскоб с мягких частей панциря и поискать там бластоспоры или гифы грибов. Бактерии, скорее всего, видны не будут без покраски... Хотя, если есть хотя бы Диф Квик - можно им попробовать покрасить. Надеюсь Вам что-то понятно из этого. Я ещё попросила врача посчитать сколько будет стоить осмотр такой черепахи у неё в клинике "Я ещё попросила врача посчитать сколько будет стоить осмотр такой черепахи у неё в клинике" - спасибо большое, сразу поехать не смогу конечно, но месяца через 1,5 - 2 может быть получится.
Софья25 Ваше имя: Софья Локация: Россия, Владивосток Опубликовано: 16 апреля 2023 Опубликовано: 16 апреля 2023 @Черепухина , может быть открыть сбор на приём у герпетолога, когда будет известна стоимость? Я готова 200 рублей скинуть. С мира по нитке соберём. 3 часа назад, Черепухина сказал: @moth 1 1
Черепухина Ваше имя: Эльза Локация: Москва Опубликовано: 16 апреля 2023 Автор Опубликовано: 16 апреля 2023 (изменено) @Софья25 Спасибо большое за инициативу, очень приятно знать, что есть неравнодушные люди?, но я думаю, что смогу накопить нужную сумму сама, просто не так быстро, как хотелось бы. Я уже работаю, просто заработок зависит от проведенного за работой времени, а так как сейчас начались контрольные и ВПР работать не успеваю. Сейчас все закончится и я быстро накоплю ? Еще день рождения скоро, если денег подарят то еще раньше на прием записаться смогу. Изменено 16 апреля 2023 пользователем Черепухина
Консультанты moth Ваше имя: Мария Локация: Москва Опубликовано: 16 апреля 2023 Консультанты Опубликовано: 16 апреля 2023 @Черепухина да, Вы можете скинуть результаты сюда, я их врачу покажу. По стоимости конкретно у неё 2500р приём + 900р анализ - это сейчас средний ценник за такие процедуры.
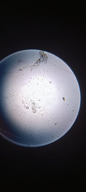
Черепухина Ваше имя: Эльза Локация: Москва Опубликовано: 17 апреля 2023 Автор Опубликовано: 17 апреля 2023 @moth Отлично! А вы у какого врача спрашивали, какое название клиники? Просто чтобы знать, куда записываться, когда сумма нужная будет. https://ibb.co/vvYzVKd https://ibb.co/Bc8V4dc https://ibb.co/m8xZxm7
Черепухина Ваше имя: Эльза Локация: Москва Опубликовано: 17 апреля 2023 Автор Опубликовано: 17 апреля 2023 (изменено) Могу предположить, что Вы спрашивали у Токаревой Марии, я к ней недавно ездила с бананоедом. Я скорее всего смогу уговорить родителей отвезти меня в ветклинику Астин, она от нас ближе всего находится ( 3,5 ч езды) Изменено 17 апреля 2023 пользователем Черепухина
Консультанты moth Ваше имя: Мария Локация: Москва Опубликовано: 17 апреля 2023 Консультанты Опубликовано: 17 апреля 2023 @Черепухина да, именно у неё 1
Рекомендованные сообщения
Создайте аккаунт или войдите в него для комментирования
Вы должны быть пользователем, чтобы оставить комментарий
Создать аккаунт
Зарегистрируйтесь для получения аккаунта. Это просто!
Зарегистрировать аккаунтВойти
Уже зарегистрированы? Войдите здесь.
Войти сейчас