shieldorb Ваше имя: Андрей Локация: Оренбург,Россия Опубликовано: 5 декабря 2023 Опубликовано: 5 декабря 2023 Из какого вы города (области)? Ваш возраст? Вид черепахи? красноухая Где содержится (пол, аквариум, террариум, контейнер)? Размер жилища? аквариумКакой объем воды в литрах?120л Какое стоит оборудование? 4.1. Установлена ли лампа накаливания в качестве точки прогрева? Сколько часов работает в день?8,да 4.2. Установлена ли ультрафиолетовая лампа? Если да, то с каким спектром UVB%? Как называется и как давно установлена? Сколько часов работает в день?ночная ноунейм 4.3. Установлен ли берег? Что используется в качестве берега?пластиковый берег на липучке 4.4. Установлен ли фильтр для воды, если да, то какой, внешний/внутренний? Какая мощность?внутренний фильтр 200л/ч 4.5. Установлен ли нагреватель воды?да Имеется ли грунт в жилище черепахи? Если да, то какой?нет Какая температура в жилище черепахи (воздуха/воды)?водух 28,вода 26 Что черепаха ест и как часто? Какие даете подкормки и как часто?рептомин 1 раз в день Возраст, точный вес и длина панциря черепахи? В чём проблема/болезнь? Как давно проявилась?купили у цыган на рынке 4 месяца назад,вес 22г,длина 5 см.Мягкий панцирь,перестала есть и сопли немного из носа идут.Когда на суше лежит долго-панцирь белого цвета становиться Обращались ли в ветклинику? Как называется ветклиника? Как зовут врача (ФИО)? Вводились ли какие-то препараты, если да, то в каких дозировках? Что было сделано по рекомендациям врача?Были у псевдогерпетолога который гамавит назначил колоть,больше к нему не ходили после того как нашли инфу по лекарствам.По его рекомендациям кололи какой то красный витамин и белый(выписал и дал в руки два шприца сказал колоть внутримышечно 1 раз в день и гамавит ещё предложил купить самим)после уколов через какое то время вроде чепу стало легче но через 2 недели опять приуныл. Фото смогу приложить только завтра
Консультанты moth Ваше имя: Мария Локация: Москва Опубликовано: 5 декабря 2023 Консультанты Опубликовано: 5 декабря 2023 @shieldorb здравствуйте! тогда жду фото и что именно за ночная лампа? можете тоже её сфотографировать?
shieldorb Ваше имя: Андрей Локация: Оренбург,Россия Опубликовано: 5 декабря 2023 Автор Опубликовано: 5 декабря 2023 https://wildberries.ru/catalog/160017460/detail.aspx 1 минуту назад, shieldorb сказал: https://wildberries.ru/catalog/160017460/detail.aspx
Консультанты moth Ваше имя: Мария Локация: Москва Опубликовано: 5 декабря 2023 Консультанты Опубликовано: 5 декабря 2023 (изменено) @shieldorb а лампа обогрева это та, что подарком к этой идёт? а нет, не подарком, но рядом продаётся Изменено 5 декабря 2023 пользователем moth
shieldorb Ваше имя: Андрей Локация: Оренбург,Россия Опубликовано: 5 декабря 2023 Автор Опубликовано: 5 декабря 2023 5 минут назад, shieldorb сказал: Была такая но сгорела,сейчас обычная самая маленькая лампа накаливания советская Вчера в ночь пищала с периодичностью в 4 мин пока лежала на береге,лежит под лампой вытянув шею.Сегодня не пищала
Консультанты moth Ваше имя: Мария Локация: Москва Опубликовано: 5 декабря 2023 Консультанты Опубликовано: 5 декабря 2023 @shieldorb Вам нужно убрать и сейчас выключить эту чёрную лампу. Такие лампы (и та, что была для обогрева) могут фонить вредным ультрафиолетом, и вместе пользы наоборот нести вред. Как давно были у ветеринара? сколько дней не ест? есть возможность рентген ей сделать? не обязательно у герпетолога, в любой клинике, я объясню какие снимки нужны. Это чтобы понять в чём проблема - желудок или лёгкие (или всё сразу) Скорее всего у черепахи дефицит кальция из-за неправильной лампы. Лечится это уколами, по-другому никак. И Вам нужно заказать хорошую уф лампу. На ВБ есть Simple Zoo 10%UVB - закажите её. Для обогрева пусть стоит обычная накаливания. Но нужно, чтобы берег прогревался до 32 градусов
shieldorb Ваше имя: Андрей Локация: Оренбург,Россия Опубликовано: 5 декабря 2023 Автор Опубликовано: 5 декабря 2023 Может подскажите герпетогола в г. Оренбург,у нас по поиску обычные врачи которые не являются герпетологами но почему то берутся лечить видимо из жажды наживы. Поищем по поводу рентгена,лампу выключил,новую закажем.было две черепашки изначально брали для детей из за незнания черепашьей темы от слово совсем ,затем начали изучать .привезли к ветеринару одной совсем плохо было она почти не двигалась а вторая более менее это было полтора месяца назад где то.врач сказал что там где купили их изначально кормили неправильно и у них рахит,ток у одной совсем безвыходная ситуация а у второй поправить можно уколами и дал два шприца инсулиновых сказал колоть по по 0,5 УФ лампа E27 UVB 10.0 для рептилий от Simple Zoo, 13 Вт Simple Zoo https://wildberries.ru/catalog/165006555/detail.aspx такая?
Консультанты moth Ваше имя: Мария Локация: Москва Опубликовано: 5 декабря 2023 Консультанты Опубликовано: 5 декабря 2023 @shieldorb да, такая к сожалению, у нас по справочнику нет хороших герпетологов в оренбурге : ( я могу Вам онлайн консультацию у нашего герпетолога в телеграмме предложить, она 300р стоит за весь курс, оплата после консультации.
shieldorb Ваше имя: Андрей Локация: Оренбург,Россия Опубликовано: 5 декабря 2023 Автор Опубликовано: 5 декабря 2023 Давайте Нам не принципиально,лишь бы вылечить
Консультанты moth Ваше имя: Мария Локация: Москва Опубликовано: 5 декабря 2023 Консультанты Опубликовано: 5 декабря 2023 @shieldorb вот ссылка на канал https://t.me/+35C37dkQcyEzYTVi я там создала Вашу тему, зайдите в комментарии к ней и напишите, что присоединились. Врач ответит как только сможет 1
shieldorb Ваше имя: Андрей Локация: Оренбург,Россия Опубликовано: 5 декабря 2023 Автор Опубликовано: 5 декабря 2023 Спасибо
shieldorb Ваше имя: Андрей Локация: Оренбург,Россия Опубликовано: 6 декабря 2023 Автор Опубликовано: 6 декабря 2023 А можете ещё ссылку на какую нибудь консультацию скинуть?там тишина
Консультанты moth Ваше имя: Мария Локация: Москва Опубликовано: 6 декабря 2023 Консультанты Опубликовано: 6 декабря 2023 @shieldorb врач ответит сегодня ближе к ночи после основной работы. Я могу дать контакт другого врача в инсте - она отвечает быстрее, но там цена около 1500р за консультацию, у неё нет скидок для форума.
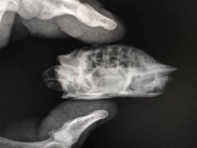
shieldorb Ваше имя: Андрей Локация: Оренбург,Россия Опубликовано: 9 декабря 2023 Автор Опубликовано: 9 декабря 2023
Рекомендованные сообщения
Создайте аккаунт или войдите в него для комментирования
Вы должны быть пользователем, чтобы оставить комментарий
Создать аккаунт
Зарегистрируйтесь для получения аккаунта. Это просто!
Зарегистрировать аккаунтВойти
Уже зарегистрированы? Войдите здесь.
Войти сейчас