Перейти к публикации

Как улучшить условия больной пневмонией и эзофагитом


nrthdr

Рекомендованные сообщения

  • Ваше имя: Вероника
  • Локация: Санкт-Петербург
  • Опубликовано:

    Здравствуйте

    1. Я живу в СПб, мне 25 лет

    2. Красноухая.

    3. До обнаружения болезни содержалась в аквариуме 100×40×60 доверху заполненом водой (200л), потому что была пристройка с берегом. Сейчас уже убрали пристройку (на ней оказалось много плесени снизу над водой), поэтому снизили уровень воды до ~60л, поставили камень под лампой. 

    4. До обнаружения болезни и после были обе лампы, внешник, берег. После снижения уровня воды на камень черепашка не хочет вылазить, плавает около. Далее буду описывать условия, в которых живёт 2 последние недели.

    4.1. Установлена лампа накаливания в качестве точки прогрева, примерно 34° под лампой. Работает около 10часов.

    4.2. Ультрафиолетовая лампа UVB 10%. После герпетолога сменили лампу на новую лагуну 26W. Прошлую покупали месяца 3 назад, фирму не знаю. Работает 10 ч примерно на высоте ~45 см над водой. 

    4.3. Берег был деревяной надстройкой полгода, убрали. Сейчас камень, фото приложу. (Сейчас вода не зеленая)

    4.4. Полгода стоял внешний фильтр акваэль макси кани 250. Последние 2 нед поставили внутренний акваэль фан фильтр 1плюс, а внешник выключили, ждет чистки и перенаполнения(Не знаю как наполнить!) 

    4.5.  Есть нагреватель воды, тоже от акваэль, стоял на 27°, изменили на 30°

    5. Грунта нет

    6. Температура в воде около 30,8°, воздух не знаю, в комнате около 27°-28°, точка прогрева 33-34

    7. По рекомендации врача последнюю неделю не кормили, так кушал 1 раз в 2 дня рыбу (путассу, минтай), каждый день давали сухие вкусности (сушеная рыбка, личинки черной мухи), иногда вкусности заменяли на рептомин.

    8.Черепашке 2 года, весом 1,2 кг, 22 см длина панциря.

    В ветклинике сделали рентген и БАЛ(я не знаю что это), взяли, как я поняла жидкость из легких на бак посев, обнаружили Cytrobacter freundii 10^7. Диагноз бактериальная бронхопневмония и эзофагит. Объяснили, что пищевод с некротическими отлодениями, гиперемирован, а устье трахени отечно с наложениями. Не знаю,  можно ли писать названия антибиотиков, но лучше не буду.  Прописали 2, один уже закончили курс, второй не начали (не по нашей вине),  колем Рингера и делаем ингаляцию. В 60 л воды добавили мителеновый синий. 

    В чем проблема? После недели голодания, черепаха не съела все. В воде не залазит на камень под лампу, сидит в углу, стал малоподвижен. Очень ЧАСТО кусает передние лапки, пускает пузырьки со рта. Пожалуйста подскажите что сделать с водой, чтоб он не чесался, как наполнить внешний фильтр? Как его кормить? Знаю, что мягкой и теплой едой. Я кормлю в тазике, но он просто хочет оттуда вылезть и не кушает. 

    9. Обращались в  ВК "Челси", врач Анна Павловна Носова.Не знаю,  можно ли писать названия антибиотиков, но лучше не буду.  Прописали 2, один уже закончили курс, второй не начали (не по нашей вине),  колем Рингера и делаем ингаляцию. В 60 л воды добавили мителеновый синий. Можно я приложу направление? 

    20231214_123053.jpg

    20231214_124142.jpg

    20231203_155959.jpg

    • Консультанты
  • Ваше имя: Мария
  • Локация: Москва
  • Опубликовано:

    @nrthdr здравствуйте!

    а изначально жалобы какие были, что Вы к герпетологу пошли? названия антибиотиков напишите, дозировку и в какую лапу кололи - переднюю или заднюю?

    Я Вам советую сходить к другому врачу, про того у кого Вы были у нас нет никакой информации и рекомендации по содержанию, особенно про температуру воды странные. 

    Вам нужно снизить её обратно до 26 градусов.

    Запишитесь к 

    Николаев Ярослав Дмитриевич

    Принимает в ветеринарном центре Докторы Базылевского А.А.

     Санкт-Петербург, Петергофское шоссе, 45

     +7 (981) 336-56-23

     vetcentr-bazylevskogo.ru

    Принимает в ВК "Пантерик"

     Санкт-Петербург, м.Спортивная, ул.Зверинская, д.2/5

     +7 (800) 222-70-40 (доб.4)

     panteric.ru

    Это очень хороший врач, один из лучших в СПб и без лишних назначений

  • Ваше имя: Вероника
  • Локация: Санкт-Петербург
  • Опубликовано: (изменено)

    @moth Спасибо за рекомендацию врача.

    Изначально беспокоило то,  что черепаха перестала активно кушать в тазике, ела пару кусочков, а дальше просто пыталась вылезти. В аквариуме тоже пару съест и все, образовалась пленка на воде. Так же черепаха начала открывать рот и чесать голову лапками под водой, как будто горло чешется. 

    Сейчас сделали курс мелоксивета 0,2% по 1,2 мл (кололи 7 дней в переднии лапки поочередно), сделали 4 укола подкожно в паховую областт р-ра Рингера (по рекомендации осталось 3), сделали 1 укол Элеовита 0,6 мл (второй предстоит 15.12), 2 раза в день ингалируем аналогом ацц200мг 1/4пакета +эуфилин 1 мл+ амикацин 500мг(разводим водой для инъекций5мл, набираем 0,5 мл)+вода для инъекций. Назначили после бак посева ещё Энрофлон 2,5% по 0,48 мл, но его пока не ставили. 

    20231214_124401.jpg

    20231214_124355.jpg

    Изменено пользователем nrthdr
    • Консультанты
  • Ваше имя: Мария
  • Локация: Москва
  • Опубликовано:

    @nrthdr так если антибиотик в итоге не кололи, то черепаха лечение и не получала от пневмонии. Ингаляциями её не вылечить. 

    Тут однозначно нужно идти к Ярославу и разбираться. Постарайтесь записаться к нему на самое ближайшее время. 

     

  • Ваше имя: Вероника
  • Локация: Санкт-Петербург
  • Опубликовано:

    @moth Хорошо, спасибо

    • 1 месяц спустя...
  • Ваше имя: Вероника
  • Локация: Санкт-Петербург
  • Опубликовано:

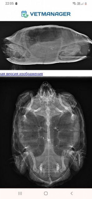
    Здравствуйте, прошел почти месяц с начала лечения черепашки. До Ярослава мы не доехали, он согласился на консультацию по телефону, скинули ему назначение врача, рентген, фото черепахи и домика. Он одобрил лечение и все назначения Анны Павловны, даже температуру воды. Антибиотик проколали, увеличили ингаляции еще на неделю, чтоб с антибиотиком вместе подействовало. Сегодня ездили на повторный  рентген, сказали "динамика положительная". Не знаю,  означает ли это выздоровление, но повторно попросили приехать через год на рентген и кровь.  Осталось разобраться с водой в аквариуме, но я создала отдельную тему под это. Пушистик еще не линял, надеюсь,  с переходом на рептомин начнёт ?

    Screenshot_20240118-220532_Chrome.jpg

    Screenshot_20240118-220522_Chrome.jpg

    • Консультанты
  • Ваше имя: Мария
  • Локация: Москва
  • Опубликовано:

    @nrthdr вот и отлично! добавим тогда врача в список рекомендованных = ) 

    а ничего не говорили про что-то рентгеноконтрасное на снимках в теле? у неё никогда грунта не было?

    для здоровых черепах температура воды 24-26 градусов. Выше не рекомендуется, т.к. это провоцирует снижение иммунитета, а для самок запускает цикл формирования яиц.

  • Ваше имя: Вероника
  • Локация: Санкт-Петербург
  • Опубликовано:

    @moth Первый рентген был такой.  Думаем, пообдирала камушки со старого аквариума. Сейчас грызла искусственную траву, но понемногу интерес к ней угасает. На этот раз ничего про рентгеноконтрастное не говорили, надеюсь,  тоже выйдет естественным путем. Понаблюдаем за ней. 

    Воду снизили до 26

    1152.144.1188.1178.157.10.20231205093737.3.jpg

    • Консультанты
  • Ваше имя: Мария
  • Локация: Москва
  • Опубликовано:

    @nrthdr да, тогда это остатки камней

    замените газон на резиновый коврик для ванны, чтобы грызть не могла. Эта трава очень гадкая и однажды ей может срочно понадобиться его сожрать, а Вам опять переживать за неё. Черепахи в этом плане очень непредсказуемые. 

    • Поддержать 1
  • Ваше имя: Вероника
  • Локация: Санкт-Петербург
  • Опубликовано:

    Может,  кто ещё не спит, ответит

    Пушистик зачастил с сидением на берегу в последние 3 дня. Сейчас сидит,  лампу мы уже как 30 мин выключили,  всё сидит. Стоит ли переживать?

    • Консультанты
  • Ваше имя: Мария
  • Локация: Москва
  • Опубликовано:

    @nrthdr это вариант нормы. Мои тоже иногда так сидят, потом уходят спать в воду. Если он в остальное время ведёт себя как обычно - не надо беспокоиться. 

    • Спасибо 1
  • Ваше имя: Вероника
  • Локация: Санкт-Петербург
  • Опубликовано:

    @moth Спасибо,  просто после пневмонии она мне теперь всегда мерещится. Буквально не даёт покоя одна мысль. На рентгене легкие мутные, не чёрные(как везде показывают). Врач сказала, что черными они не будут из-за органов и карапакса. Почему у некоторых они прям чисто черные на рентгене? Это тоже вариант нормы?

    • Консультанты
  • Ваше имя: Мария
  • Локация: Москва
  • Опубликовано:

    @nrthdr это ещё от оборудования и настроек зависит.

    К сожалению я тут не помогу с чтением таких вот сложных снимков, у меня для этого знаний не достаточно.

    Бывают рецидивы пневмонии, если не до конца долечили, но очень редко и думаю, что врач не стала бы рисковать и говорить, что всё нормально, если были бы какие-то сомнения. 

  • Ваше имя: Вероника
  • Локация: Санкт-Петербург
  • Опубликовано:

    @moth Хорошо, спасибо!

    Создайте аккаунт или войдите в него для комментирования

    Вы должны быть пользователем, чтобы оставить комментарий

    Создать аккаунт

    Зарегистрируйтесь для получения аккаунта. Это просто!

    Зарегистрировать аккаунт

    Войти

    Уже зарегистрированы? Войдите здесь.

    Войти сейчас
    ×
    ×
    • Создать...