АннаСах Ваше имя: Сильвестр Локация: Россия, Южно-Сахалинск Опубликовано: 16 июня 2024 Опубликовано: 16 июня 2024 Не судите строго. У меня красноухая черепаха, которой 6 лет, мне ее когда-то отдали знакомые, у них она из магазина. Всегда это считался мальчик, в магазине так сказали и к ветеринару они ее когда-то возили(но у нас тут спецов по черепахам нет). Да и по признакам больше походит на мальчика. Некоторое время назад сильно начал долбится в стенки аквариума. Потом прошло. Сейчас муж который сидел возле аквариума позвал меня со словами что там плавает что-то непонятное и вода стала мутная. Я стала вылавливать сачком. А это разбитое небольшое яйцо!!! И черепаха сама ест плавающие остатки. Я честно говоря в шоке. Получается это самка?!? И вылупила неоплодотворенное яйцо?! И что теперь делать? Или выловить остатки, подменять воду и оставить черепаху в покое?
dryuiikhva Ваше имя: Иван Лучко Локация: Краснодар Опубликовано: 16 июня 2024 Опубликовано: 16 июня 2024 @АннаСах конечно же это самка) У них когти и хвост короткие (относительно когтей и хвоста самцов). Это нормально, что они едят свои яйца, некоторые рекомендуют скормить их в качестве источника кальция. Моя черепаха пока не несла яица, но я бы просто выбросил и поменял воду. В качестве кальция можно дать и другую пищу. Убедитесь, что условия содержания правильные, и тогда всё в порядке
Татьяна.04 Ваше имя: Татьяна Локация: Россия, Люберцы Опубликовано: 16 июня 2024 Опубликовано: 16 июня 2024 Снесла только одно яйцо? Их может быть больше. Наша, одна из трёх, периодически сносит яйца. Мы всегда делаем рентген, сразу, как только она начинает беспокойно себя вести. Рентген можно в любой вет.клинике сделать, на снимке будет понятно сколько там яиц вообще и в каком они положении. Должны выйти все
Алексей Alex-Raduga Ваше имя: Алексей Локация: Россия, МО, Серпуховский район Опубликовано: 17 июня 2024 Опубликовано: 17 июня 2024 Да, одно это мало, должны быть еще. Но если одно уже снесла - все в порядке, теперь сама дальше снесется, ничего делать не нужно. Воду подменить и все. Обычно девочки несутся 2 раза в год, бывает по 5-10 яиц.
Galina29 Ваше имя: Галина Локация: Москва Опубликовано: 17 июня 2024 Опубликовано: 17 июня 2024 Если продолжит пытаться что-то закапывать на островке и активнее обычного плавать, на всякий случай лучше сделать рентген, в нашей однажды так яйца застряли, пришлось в клинике колоть окситоцин.
Алексей Alex-Raduga Ваше имя: Алексей Локация: Россия, МО, Серпуховский район Опубликовано: 18 июня 2024 Опубликовано: 18 июня 2024 @Galina29 у меня тоже такое было, но это - если ни одного снести не может, если одно уже есть - дальше должно пойти проще.
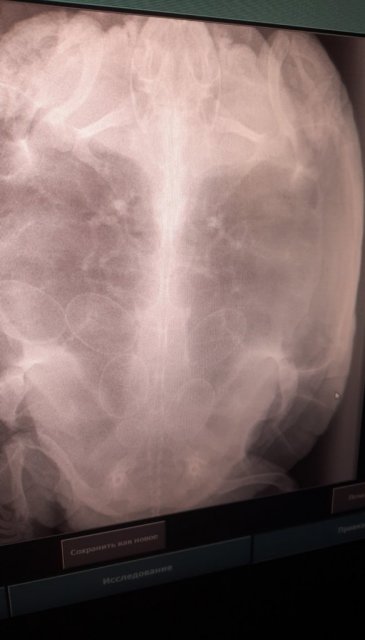
Татьяна.04 Ваше имя: Татьяна Локация: Россия, Люберцы Опубликовано: 28 июня 2024 Опубликовано: 28 июня 2024 А наша никак до конца снестись не может. Рентген показал 6 яиц ещё в апреле. Начала нестись по одному с перерывами в несколько дней и недель. Ещё два осталось. Удивительный факт, что сразу после того, как снеслась 28.03 (вышли все 6 яиц) , через неделю начала проявлять беспокойство, отказ от еды и т.п. Мы сразу к герпетологу, сделали рентген и обнаружили вновь 6 яиц! Врач только развёл руками, говорит, что первый раз с таким сталкивается. Очень короткий период для их формирования
Алексей Alex-Raduga Ваше имя: Алексей Локация: Россия, МО, Серпуховский район Опубликовано: 28 июня 2024 Опубликовано: 28 июня 2024 @Татьяна.04 ну, если все что в начале были снесла - то теперь только ждать, снова нужно время. Они обычно и несутся 2 раза в год, но обычно интервал больше, весна - конец лета или начало лета - осень.
Татьяна.04 Ваше имя: Татьяна Локация: Россия, Люберцы Опубликовано: 28 июня 2024 Опубликовано: 28 июня 2024 Дело в том, что 28.03 она снесла все 6. А в начале апреля как-то сформировались ещё новые 6,( за неделю), одно было недоразвитое, на снимке оно самое маленькое, внизу. Вот что удивительно. Вот, потихоньку, с большими перерывами снесла в июне 4, ещё остались два. Так-то да, несутся они 2 раза в год, с хорошим перерывом между кладками. А у нас интервал был - неделя (!) Интересно, у других черепах такое бывало?
Рекомендованные сообщения
Создайте аккаунт или войдите в него для комментирования
Вы должны быть пользователем, чтобы оставить комментарий
Создать аккаунт
Зарегистрируйтесь для получения аккаунта. Это просто!
Зарегистрировать аккаунтВойти
Уже зарегистрированы? Войдите здесь.
Войти сейчас