ЕленаЧ Ваше имя: Елена Локация: Москва Опубликовано: 28 декабря 2022 Автор Опубликовано: 28 декабря 2022 Я наблюдала за ней, выпустила даже погулять на кровать, но нет, не капает а отталкивается когда плывет или идет по дну ( тк она большая 150 л аква на половину с водой ей только ходить), но попа давно упругая, уже задумалась на рентген свозить на всякий случай, но вот сейчас спит в ночи под водой
Алексей Alex-Raduga Ваше имя: Алексей Локация: Россия, МО, Серпуховский район Опубликовано: 29 декабря 2022 Опубликовано: 29 декабря 2022 @ЕленаЧ Да, рентген все покажет, но в любом случае еще рано нестись, если только стала копать лапами. А вот воды ей явно мало, 150 л только-только бы хватило, вы могли бы налить полный ? Надо сделать мостик сверху и ограждение над аквариумом. Проще всего - все из панелей ПВХ, что-то вроде этого :
ЕленаЧ Ваше имя: Елена Локация: Москва Опубликовано: 2 января 2023 Автор Опубликовано: 2 января 2023 Я хотела переключить мостик стеклянный повыше, но пустой аква тоже прилично весит чтобы на бок повернуть, а попытки сделать как у вас у меня были в дачном варианте с икеевскис контейнером, но не получается трап жесткий сделать, поэтому пока если заморочиться мост поднять и ограждение , на задние лапы встаёт и на 3/4 аквариума с вытянутой шеей ? сейчас еще начала кушать мало, пару штук сухого корма съест и все, а так и плавает и загорать вылезает, полностью почти год отказалась от овощей и салата, карася даю иногда но тоже пару кусочков маленьких съест и все, кормлю раз в 3 дня
Красный кит Ваше имя: Екатерина Яковлева Локация: Россия, г. Красноярск Опубликовано: 2 января 2023 Опубликовано: 2 января 2023 @ЕленаЧ движение - жизнь. Есть даже болезни, причина которых в отсутствии у черепахи достаточного места для плаванья. Зачем аквариум на бок класть? И так ведь можно срезать и вклеить? 1
DaiL_ Ваше имя: DaiLbe Локация: Россия, Москва Опубликовано: 3 января 2023 Опубликовано: 3 января 2023 @ЕленаЧ а какой у неё сейчас размер и возврат?
ЕленаЧ Ваше имя: Елена Локация: Москва Опубликовано: 12 января 2023 Автор Опубликовано: 12 января 2023 03.01.2023 в 14:31, DaiL_ сказал: @ЕленаЧ а какой у неё сейчас размер и возврат? 2,5 года, вес 1,95 кг, 26 см по верху. Уже заказала мост на присосках на всю ширину аквы, стеклянный срежу. Она есть по чуть чуть совсем, серой корм хватает и выплевывает сразу же, карася мелкого голову погрызла половину и все, но на сушу вылезает погреться а преимущественно спит под водой или капает передними лапами. Может из за погоды такое поведение, вода 28, а тк сверху крышки нет, может воздух прохладнее несмотря на лампу обогрева
ЕленаЧ Ваше имя: Елена Локация: Москва Опубликовано: 23 февраля 2023 Автор Опубликовано: 23 февраля 2023 По итогам черепах от корма отказывается, но сушеных креветок за обе щеки, ночью буянит в аквариуме и роет всеми лапами в ковре на суше, на 27 число запись к герпетологу, походу яйца, в песок посадила, отказалась там капать. а с мостом беда, вклеенный пробовала канцелярским ножом герметик срезать, даже нож не входит, пока оставила, боюсь аквариум повредить такими манипуляциями
Алексей Alex-Raduga Ваше имя: Алексей Локация: Россия, МО, Серпуховский район Опубликовано: 23 февраля 2023 Опубликовано: 23 февраля 2023 1 минуту назад, ЕленаЧ сказал: а с мостом беда, вклеенный пробовала канцелярским ножом герметик срезать, даже нож не входит, пока оставила, боюсь аквариум повредить такими манипуляциями Можно оставить старый как "мель", сделать над ним новый, и налить полный. Конечно, лучше хотя бы трап срезать.
ЕленаЧ Ваше имя: Елена Локация: Москва Опубликовано: 24 февраля 2023 Автор Опубликовано: 24 февраля 2023 Пока до врача время идет еще чуть чуть, черепах начала по ночам оставаться на мостике и толи квакать толи гавкать, сегодня вечером первый раз услышала, может кто сталкивался?
Алексей Alex-Raduga Ваше имя: Алексей Локация: Россия, МО, Серпуховский район Опубликовано: 24 февраля 2023 Опубликовано: 24 февраля 2023 @ЕленаЧ Считается, что они издают звуки, если у них что-то болит. Так что врач обязательно нужен. А так - они могут разве что шипеть, если им что-то не понравится (или испугаются). Ночью на мостике некоторые мои спят, это ничего не значит.
Матрена Ваше имя: Лена Локация: Москва Опубликовано: 24 февраля 2023 Опубликовано: 24 февраля 2023 моя черепашка когда-то сушеные креветки за обе щёки лопала! и свежемороженные тоже! итог: долго-долго лечила свою красавицу! нарушение работы всего жкт! даже вспоминать дурно о ее лечении.... практически полтора года ушло на восстановление нашей черепашки.... не напрасно тут предупреждают о вреде такого кормления. только специализированные корма и рыба! лечились у Васильева в Белом клыке.
Erika Ваше имя: Эрика Локация: Рязань (Россия) Опубликовано: 24 февраля 2023 Опубликовано: 24 февраля 2023 @moth а я фигурку эту увидела, она такая реалистичная, подумала ё-маё сухопутную черепаху утопили:) потом увидела красноухую и поняла, что это фигурка
Консультанты moth Ваше имя: Мария Локация: Москва Опубликовано: 25 февраля 2023 Консультанты Опубликовано: 25 февраля 2023 @ЕленаЧ сушеные креветки вызывают спазмы и газы в жкт, нельзя их черепахе давать. Таким кормлением Вы только усугубляете ситуацию. Не давайте их больше.
ЕленаЧ Ваше имя: Елена Локация: Москва Опубликовано: 28 февраля 2023 Автор Опубликовано: 28 февраля 2023 У нас 3 яичка наметилось, но встала проблема с уколами, не могу пересчитать дозировку, купила препарат 20г/100 мл, получается уколоть 0,5 мл? Кто понимает?
ЕленаЧ Ваше имя: Елена Локация: Москва Опубликовано: 5 марта 2023 Автор Опубликовано: 5 марта 2023 Моя черепашка наконец переехала в 200 л ?
DaiL_ Ваше имя: DaiLbe Локация: Россия, Москва Опубликовано: 5 марта 2023 Опубликовано: 5 марта 2023 @ЕленаЧ класс, только нужно будет конечно полностью его залить, у меня сейчас в точно таком же аквариуме 8 см черепашка сидит, тоже скоро буду остров новый делать. 1
ЕленаЧ Ваше имя: Елена Локация: Москва Опубликовано: 8 марта 2023 Автор Опубликовано: 8 марта 2023 05.03.2023 в 12:57, DaiL_ сказал: @ЕленаЧ класс, только нужно будет конечно полностью его залить, у меня сейчас в точно таком же аквариуме 8 см черепашка сидит, тоже скоро буду остров новый делать. У меня 26 см черепашка ? по сравнению с вашей моя толстушечка
vvbhjuutdss Ваше имя: Дмитрий Локация: Испания Опубликовано: 8 марта 2023 Опубликовано: 8 марта 2023 @ЕленаЧ на зарубежных источниках вашей черепахе уже советую 450+ литров воды
ЕленаЧ Ваше имя: Елена Локация: Москва Опубликовано: 11 марта 2023 Автор Опубликовано: 11 марта 2023 08.03.2023 в 19:36, vvbhjuutdss сказал: @ЕленаЧ на зарубежных источниках вашей черепахе уже советую 450+ литров воды Мы в России ?
vvbhjuutdss Ваше имя: Дмитрий Локация: Испания Опубликовано: 12 марта 2023 Опубликовано: 12 марта 2023 @ЕленаЧ ну да @ЕленаЧ хотя, если вы сами ее купили, то надо обеспечить комфортные условия
ЕленаЧ Ваше имя: Елена Локация: Москва Опубликовано: 19 марта 2023 Автор Опубликовано: 19 марта 2023 Когда покупала как и многие не знала на сколько вырастет, ну что выросло то выросло:) сеголня после 3 дозы Окситоцина родила все яички, но меня беспокоит ее глаз, может от напряжения или иное, кто может распознать, помогите плиз. на приеме у врача до родов, провели осмотр черепахи, слизистая отличная, никаких выделений. фото сделано пока она спит. Второй глаз нормальный по цвету
ЕленаЧ Ваше имя: Елена Локация: Москва Опубликовано: 17 апреля 2023 Автор Опубликовано: 17 апреля 2023 У нас 2 кладка яиц намечается, в этот раз 10 и больше размером, герпетолог сказал также схема, борглюконат кальция 0,9 мл 5-7 дней, если сама не отдаст еще по 2 мл окситоцин через каждые 12 ч но не более 3 раз … кушает, какает, но днем спит весь день на мостике, это прям смущает, в воде попу не может поднять чтобы плавать, либо по дну ходит либо вдоль аквариума на задних лапах
Алексей Alex-Raduga Ваше имя: Алексей Локация: Россия, МО, Серпуховский район Опубликовано: 18 апреля 2023 Опубликовано: 18 апреля 2023 @ЕленаЧ даже Васильев назначил только один укол окситоцина, что-то слишком много ! Но если все нормально, сделаете уколы кальция, надеемся - окситоцин не понадобится. А вот как в воде - это что-то не то, пусть еще специалисты напишут.
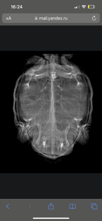
ЕленаЧ Ваше имя: Елена Локация: Москва Опубликовано: 21 апреля 2023 Автор Опубликовано: 21 апреля 2023 Откололи по 0,9 мл 5 дней кальция и черепаха даже не планирует рожать, ест как не в себя, плавает и греется, назначили 2 мл разово окситоцин через каждые 12 ч но не более 3 раз, если не поможет то оперировать ? не знаю что надо делать чтобы сама делала, слежу за такой же черепашкой Тузей так там также ситуация, 2 кладка за весну , перестала капать, начала есть и какая-то как до беременности и тоже не хочет сама отдать яйца , в этом году что-то аномальное столь?
Алексей Alex-Raduga Ваше имя: Алексей Локация: Россия, МО, Серпуховский район Опубликовано: 22 апреля 2023 Опубликовано: 22 апреля 2023 @ЕленаЧ по рентгену не сказали, все нормально ? Но если назначили окситоцин и другое не помогло - придется делать.
Рекомендованные сообщения
Создайте аккаунт или войдите в него для комментирования
Вы должны быть пользователем, чтобы оставить комментарий
Создать аккаунт
Зарегистрируйтесь для получения аккаунта. Это просто!
Зарегистрировать аккаунтВойти
Уже зарегистрированы? Войдите здесь.
Войти сейчас